[Ortho] Открытый "пилон"

ALEXEY orthoforum на weborto.net
Вс Ноя 16 03:56:27 YEKT 2008


 Уважаемые коллеги! Ниже представлен больной с тяжелой сочетанной травмой находящийся на лечении в одной из московских клиник. Хотелось бы услышать ваше мнение о проведенном и последующем лечении данного пациента

Больной А, 40 лет, находится в клинике с 15.10.08 с диагнозом: <br />Сочетанная травма. Ушиб головного мозга лёгкой степени тяжести. Компрессионные переломы тел 12 грудного и 5 поясничного позвонков без неврологических осложнений. Закрытый внутрисуставной многооскольчатый перелом дистальных метаэпифизов обеих костей правой голени со смещением. Открытый внутрисуставной многооскольчатый перелом дистальных метаэпифизов обеих костей левой голени со смещением (см. Р-граммы). Хронический алкоголизм.
        Доставлен СМП после падения с 5-го этажа (не суицид).   
        При поступлении состояние тяжелое. Глубокое оглушение. Дыхание самостоятельное, адекватное. Гемодинамика стабильная. По внутренней поверхности левой голени, в нижней трети, рвано-ушибленная рана 10-6 см, из раны выстоит проксимальный отломок большеберцовой кости, рана обильно загрязнена землёй. Интенсивная терапия в условиях реанимационного отделения, вытяжение за правую пяточную кость, параартериальная блокада обеих нижних конечностей, гипсовая лонгета на левую нижнюю конечность, ас-повязка на рану. 
   Через 4 часа после поступления оперирован: после неоднократного промывания раны тёплой проточной водой с мылом, антисептиками, при ревизии определяется земля в канале проксимального отломка на глубину 3 см..., отсутствие надкостницы на концах дистального и проксимального отломков на 3 см. Удалено значительное количество мелких костных фрагментов, перемешанных с землёй, выполнена ПХО раны, резекция проксимального конца большеберцовой кости на 3,5 см, ЧКДО аппаратом Илизарова. Рана не ушивалась.
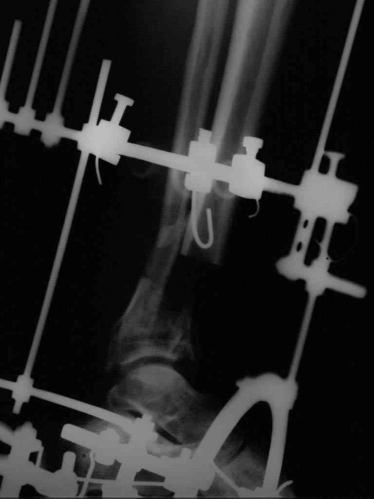
        В последующем перевязки раны с "Левомеколь", через 3 недели с момента травмы в ране определялись грануляции, нежизнеспособный конец дистального отломка. 10.11.08 ВХО раны, резекция дистального отломка на 3 см, перемонтаж 
аппарата наружной фиксации (см. Р-граммы). Отломки сближены на 2 см (остеотомию малоберцовой не делали). В настоящее время (5 сутки после операции) незначительное количество серозного отделяемого из раны, имеется дефект кости 4 см 
(см. Р-граммы).
        В последующем склоняемся к перемонтажу аппарата наружной фиксации, остеотомии малоберцовой кости в области повреждения, сближении отломков. По заживлению раны удлинение левой голени на 4 см. Однако, некоторыми высказывалось мнение о необходимости артродеза.
        Представляем рентгенограммы левой голени при поступлении, после повторного оперативного лечения и фото st.localis на 14.11.08.
        Будем очень благодарны за критику, комментарии, пожелания и мнения о дальнейшей тактике лечения.
        
        P.S Ситуация несколько осложнена тем, что наша клиника не закупает аппараты наружной фиксации, сам же больной по причине алкогольной зависимости не работает. Т.о. конструкция аппарата ограничена имеющимися деталями...
        P.P.S. На правую нижнюю конечность наложена циркулярная гипсовая повязка после 4 недель скелетного вытяжения. Положение отломков в гипсе удовлетворительное.
ALEXEY
----------- следущая часть -----------
Вложение не в текстовом формате было извлечено&hellip;
Имя     : 5.jpg
Тип     : image/jpeg
Размер  : 47032 байтов
Описание: отсутствует
Url     : http://weborto.net:8080/pipermail/ortho/attachments/20081116/e2929e12/attachment-0005.jpg 
----------- следущая часть -----------
Вложение не в текстовом формате было извлечено&hellip;
Имя     : a.jpg
Тип     : image/jpeg
Размер  : 18032 байтов
Описание: отсутствует
Url     : http://weborto.net:8080/pipermail/ortho/attachments/20081116/e2929e12/attachment-0006.jpg 
----------- следущая часть -----------
Вложение не в текстовом формате было извлечено&hellip;
Имя     : b.jpg
Тип     : image/jpeg
Размер  : 23713 байтов
Описание: отсутствует
Url     : http://weborto.net:8080/pipermail/ortho/attachments/20081116/e2929e12/attachment-0007.jpg 
----------- следущая часть -----------
Вложение не в текстовом формате было извлечено&hellip;
Имя     : c.jpg
Тип     : image/jpeg
Размер  : 26748 байтов
Описание: отсутствует
Url     : http://weborto.net:8080/pipermail/ortho/attachments/20081116/e2929e12/attachment-0008.jpg 
----------- следущая часть -----------
Вложение не в текстовом формате было извлечено&hellip;
Имя     : d.jpg
Тип     : image/jpeg
Размер  : 24087 байтов
Описание: отсутствует
Url     : http://weborto.net:8080/pipermail/ortho/attachments/20081116/e2929e12/attachment-0009.jpg 


Подробная информация о списке рассылки Ortho