[Ortho] Перелом таранной кости

zsn_1 zsn_1 на sibmail.ru
Вс Ноя 16 14:30:14 YEKT 2008


Прооперировали таранную кость, доступ внутренний без пересечения внутренней
лодыжки. Хотя покаились, что не пошли на остеотомию лодыжки внутренней. Винт
провели через небольшой передний доступ.
Джолдас какими доступами вы пользовались? Какой срок иммобилизации по вашему
мнению необходим в моем представленном случае? 
Сергей зырянов

-----Original Message-----
From: ortho-bounces на weborto.net [mailto:ortho-bounces на weborto.net] On Behalf
Of Djoldas Kuldjanov
Sent: Saturday, November 15, 2008 11:25 PM
To: ortho на weborto.net
Subject: Re: [Ortho] Перелом таранной кости

Во множестве случаев перелом таранной кости сопровождается вывихом или с
другими переломами стопы или голеностопа. Репозиция переломовывихов таранной
кости является ургентной процедурой и должна выполняться независимо от
больницы: "заштатной", или это продвинутый центр. Задача дежурного врача в
короткие сроки установить таранную кость под плафон большеберцовой кости, и
удержание отломков.

Проведение окончательной фиксации зависит от типа повреждений, например
медиально открытые переломы с ранами 1-2 степени можно зафиксировать после
первой же Irrigation&Debridment.

При случаях, когда невозможно проведение первичной фиксации, временный
наружный фиксатор является облегчающим инструментом, потому что создается
разгрузка сустава в таранно-большеберцовом сочленении и создаются наилучшие
условия для заживления ран.

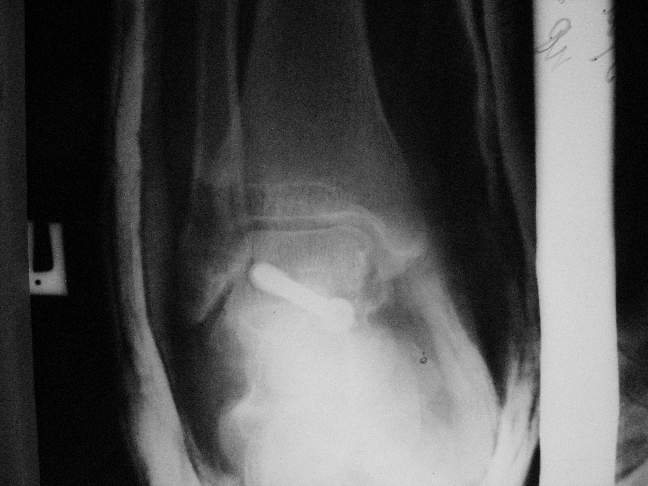
Здесь на фото примеры:

Переломовывих тарана с повреждением медиальной стороны. Через 4 часа после
поступления проведена репозиция и фиксация тарана после
Irrigation&Debridment. Частичное несращение медиальной лодыжки не беспокоит,
вернулся к активному образу жизни. Полная нагрузка разрешена через 11
недель. Финальные снимки через 11 месяцев.


Djoldas Kuldjanov, MD
Department of Orthopedic Surgery
St. Louis University Medical Center
Djoldas Kuldjanov
----------- следущая часть -----------
Вложение не в текстовом формате было извлечено…
Имя     : 081116 018.jpg
Тип     : image/jpeg
Размер  : 33264 байтов
Описание: отсутствует
Url     : http://weborto.net:8080/pipermail/ortho/attachments/20081116/ba84eced/attachment-0002.jpg 
----------- следущая часть -----------
Вложение не в текстовом формате было извлечено…
Имя     : 081116 019.jpg
Тип     : image/jpeg
Размер  : 33944 байтов
Описание: отсутствует
Url     : http://weborto.net:8080/pipermail/ortho/attachments/20081116/ba84eced/attachment-0003.jpg 


Подробная информация о списке рассылки Ortho