[Ortho] Ложный сустав шейки бедра

Гринь Алексей orthoforum на weborto.net
Вс Ноя 16 21:11:37 YEKT 2008


Уважаемые коллеги, прошу Вашего совета по тактике лечения.

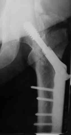
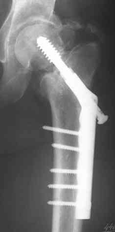
Пациентка 39 лет в декабре 2007г. в результате ДТП получила
оскольчатый метафизарный, Т-образный полный перелом мыщелков правого
бедра, базальный перелом шейки левого бедра. Перелом правого бедра лечили 
аппаратом Илизарова, перелом шейки левого бедра синтезировали DHS.

Вставать на ноги начала ч\з 2 недели после операции с полной
нагрузкой на левую ногу, правую практически не нагружала. Через 7
месяцев появились боли в области левого тазобедренного сустава. На 
контрольных снимках обнаружено не сращение шейки левого бедра.

Регулярно принимала миокальцик + препараты кальция. Прошла курс
ударно-волновой терапии №10.

В настоящее время ходит при помощи костылей с основной нагрузкой на
правую ногу. Жалобы на боли в области левого тазобедренного сустава
появляющиеся при нагрузке. На контрольных Р-граммах имеется ложный
сустав шейки бедра, прорезывание головки относительно динамического
винта. 
Учитывая, что головка бедра живая, возможно ли выполнить
реостеосинтез шейки бедра? Как это сделать и чем фиксировать?

С уважение Гринь Алексей.

























----------- УМЕДХЭБС ЮБУФШ -----------
Вложение не в текстовом формате было извлечено…
Имя     : ноябрь 2008(1).jpg
Тип     : image/jpeg
Размер  : 14273 байтов
Описание: отсутствует
Url     : http://weborto.net:8080/pipermail/ortho/attachments/20081116/4693b436/attachment-0004.jpg 
----------- УМЕДХЭБС ЮБУФШ -----------
Вложение не в текстовом формате было извлечено…
Имя     : ноябрь 2008.jpg
Тип     : image/jpeg
Размер  : 15421 байтов
Описание: отсутствует
Url     : http://weborto.net:8080/pipermail/ortho/attachments/20081116/4693b436/attachment-0005.jpg 
----------- УМЕДХЭБС ЮБУФШ -----------
Вложение не в текстовом формате было извлечено…
Имя     : январь 2008.jpg
Тип     : image/jpeg
Размер  : 14928 байтов
Описание: отсутствует
Url     : http://weborto.net:8080/pipermail/ortho/attachments/20081116/4693b436/attachment-0006.jpg 
----------- УМЕДХЭБС ЮБУФШ -----------
Вложение не в текстовом формате было извлечено…
Имя     : DSCN1532.jpg
Тип     : image/jpeg
Размер  : 22240 байтов
Описание: отсутствует
Url     : http://weborto.net:8080/pipermail/ortho/attachments/20081116/4693b436/attachment-0007.jpg 


Подробная информация о списке рассылки Ortho