[Ortho] Сегментарный перелом бедра - открыто или закрыто?

Djoldas Kuldjanov orthoforum на weborto.net
Ср Окт 1 01:01:20 YEKST 2008


При наличии различных имплантов, любые варианты: слева (полу) открытым - мининвазивным, а справа закрытым интрамедуллярным методом, его считаем более чем приемлемым для фиксации данных переломов.

Проксимальная и дистальная блокировка, независимо от техники введения штифта, ретроградно или антеградно, гарантирует сращение сегментарных переломов бедра без укорочения. Штифты диаметром 12 мм с блокировкой сверху и вниз двумя шурупами выдерживают вес 75 кг больного, что позволяет раннюю профилактику контрактур.

 
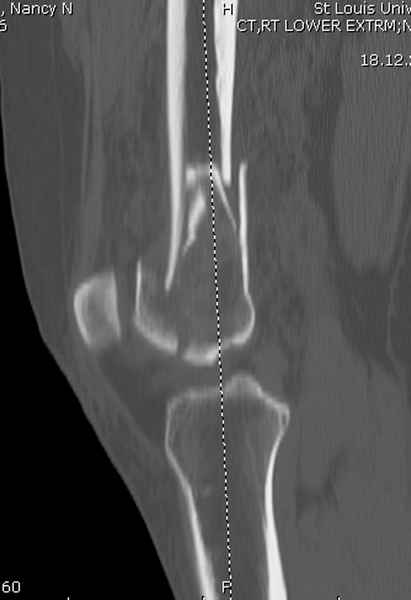
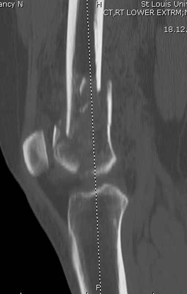
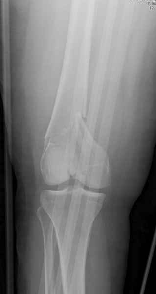
Погоня за "красивой рентгенограммой" не всегда оправдана для фиксации кости, где имеется массивное мягкотканое покрытие. Если так уж хочется исправить положение кости, то при наличии ЭОП, большие костные фрагменты могут быть развернуты или приближены к основному фрагменту методом применения Joystick.
 

Главное в лечении сегментарных переломов - необходима осторожность при рассверливании канала, продвижение гибкого сверло через сегмент проводят без сверления, толканием, а то были случаи, когда весь сегмент крутился вместе со сверлом.

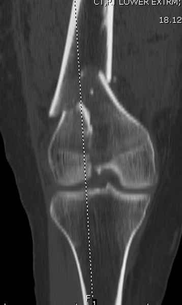
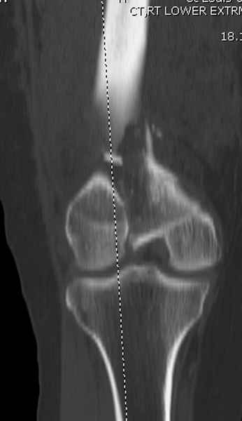
Из-за вариабельности установки дистальных шурупов и возможности перкутанного введения проксимально предпочитаем DePuy Polyax, хотя на сегодняшнем маркете множеств вариантов фиксации дистального бедра перкутанном методом.


Djoldas Kuldjanov, MD
Department of Orthopedic Surgery
St. Louis University Medical Center
----------- следущая часть -----------
Вложение не в текстовом формате было извлечено…
Имя     : distal femur.jpg
Тип     : image/jpeg
Размер  : 14488 байтов
Описание: отсутствует
Url     : http://weborto.net:8080/pipermail/ortho/attachments/20081001/5646c87e/attachment-0011.jpg 
----------- следущая часть -----------
Вложение не в текстовом формате было извлечено…
Имя     : distal femur crm 1.jpg
Тип     : image/jpeg
Размер  : 17800 байтов
Описание: отсутствует
Url     : http://weborto.net:8080/pipermail/ortho/attachments/20081001/5646c87e/attachment-0012.jpg 
----------- следущая часть -----------
Вложение не в текстовом формате было извлечено…
Имя     : distal femur crm 2.jpg
Тип     : image/jpeg
Размер  : 13023 байтов
Описание: отсутствует
Url     : http://weborto.net:8080/pipermail/ortho/attachments/20081001/5646c87e/attachment-0013.jpg 
----------- следущая часть -----------
Вложение не в текстовом формате было извлечено…
Имя     : distal femur crm 3.jpg
Тип     : image/jpeg
Размер  : 14063 байтов
Описание: отсутствует
Url     : http://weborto.net:8080/pipermail/ortho/attachments/20081001/5646c87e/attachment-0014.jpg 
----------- следущая часть -----------
Вложение не в текстовом формате было извлечено…
Имя     : distal femur crm 5.jpg
Тип     : image/jpeg
Размер  : 17606 байтов
Описание: отсутствует
Url     : http://weborto.net:8080/pipermail/ortho/attachments/20081001/5646c87e/attachment-0015.jpg 
----------- следущая часть -----------
Вложение не в текстовом формате было извлечено…
Имя     : distal femur ct.jpg
Тип     : image/jpeg
Размер  : 36739 байтов
Описание: отсутствует
Url     : http://weborto.net:8080/pipermail/ortho/attachments/20081001/5646c87e/attachment-0016.jpg 
----------- следущая часть -----------
Вложение не в текстовом формате было извлечено…
Имя     : distal femur ct 3.jpg
Тип     : image/jpeg
Размер  : 18669 байтов
Описание: отсутствует
Url     : http://weborto.net:8080/pipermail/ortho/attachments/20081001/5646c87e/attachment-0017.jpg 
----------- следущая часть -----------
Вложение не в текстовом формате было извлечено…
Имя     : distal femur ct 4.jpg
Тип     : image/jpeg
Размер  : 19675 байтов
Описание: отсутствует
Url     : http://weborto.net:8080/pipermail/ortho/attachments/20081001/5646c87e/attachment-0018.jpg 
----------- следущая часть -----------
Вложение не в текстовом формате было извлечено…
Имя     : distal femur ct 6.jpg
Тип     : image/jpeg
Размер  : 20004 байтов
Описание: отсутствует
Url     : http://weborto.net:8080/pipermail/ortho/attachments/20081001/5646c87e/attachment-0019.jpg 
----------- следущая часть -----------
Вложение не в текстовом формате было извлечено…
Имя     : distal femur ct 7.jpg
Тип     : image/jpeg
Размер  : 20923 байтов
Описание: отсутствует
Url     : http://weborto.net:8080/pipermail/ortho/attachments/20081001/5646c87e/attachment-0020.jpg 
----------- следущая часть -----------
Вложение не в текстовом формате было извлечено…
Имя     : distal femur lat.jpg
Тип     : image/jpeg
Размер  : 14795 байтов
Описание: отсутствует
Url     : http://weborto.net:8080/pipermail/ortho/attachments/20081001/5646c87e/attachment-0021.jpg 


Подробная информация о списке рассылки Ortho