[Ortho] Фиброзная дисплазия подвздошной кости

Бехтерев Антон orthoforum на weborto.net
Пн Окт 6 00:02:48 YEKST 2008


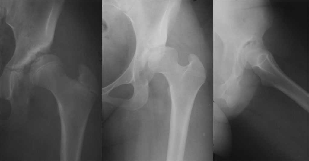
Как раз к обсуждению. Обратилась за косультацией 21-летняя девушка с жалобами на боли в левом тазобедренном суставе. Что можно ей порекомендовать?
Бехтерев Антон
----------- следущая часть -----------
Вложение не в текстовом формате было извлечено…
Имя     : coxa.jpg
Тип     : image/jpeg
Размер  : 25122 байтов
Описание: отсутствует
Url     : http://weborto.net:8080/pipermail/ortho/attachments/20081006/78f0c95a/attachment-0001.jpg 


Подробная информация о списке рассылки Ortho