[Ortho] Псевдоартроз бедренной кости!

Роман Д. orthoforum на weborto.net
Ср Окт 8 23:05:17 YEKST 2008


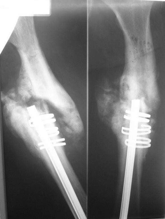
В декабре 2006г политравма в результате ДТП,соп.дз: Закрытый
винтообразный оскольчатый перелом с/з правого бедра. Выполнена
открытая репозиция, остеосинтез гвоздем Кюнчера + кольца NiTi. Через
15мес штифт сломался, был наложен АВФ, осложнением которого явился
остеомиелит бедренной кости.
Уважаемые коллеги, помогите пожалуйста разобраться в дальнейшей
тактике лечения, прогнозе. 
 заранее спасибо! 
Роман Д.
----------- следущая часть -----------
Вложение не в текстовом формате было извлечено…
Имя     : PA070598.JPG
Тип     : image/jpeg
Размер  : 37298 байтов
Описание: отсутствует
Url     : http://weborto.net:8080/pipermail/ortho/attachments/20081008/6a7db904/attachment-0001.jpeg 


Подробная информация о списке рассылки Ortho