[Ortho] Сегментарный перелом бедра - открыто или закрыто?

Станислав Дмитриев orthoforum на weborto.net
Чт Окт 9 00:07:54 YEKST 2008


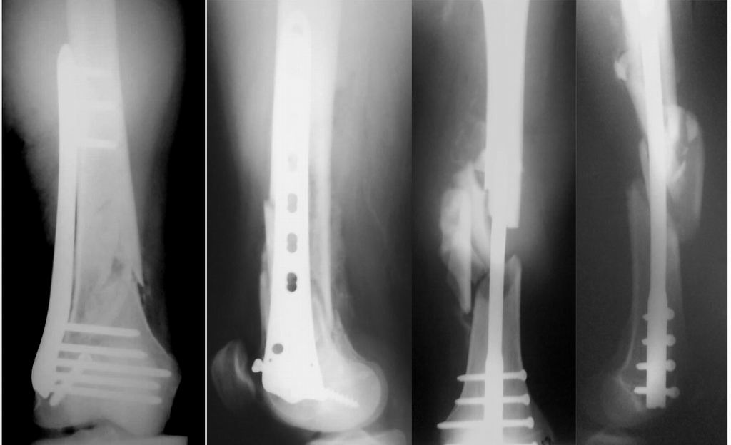
Уважаемые коллеги! От имени Алексея Смирнова всем спасибо за обсуждение. Больной прооперирован. Снимки в приложении.
Станислав Дмитриев
----------- следущая часть -----------
Вложение не в текстовом формате было извлечено…
Имя     : postoperative.jpg
Тип     : image/jpeg
Размер  : 42856 байтов
Описание: отсутствует
Url     : http://weborto.net:8080/pipermail/ortho/attachments/20081009/74409581/attachment-0001.jpg 


Подробная информация о списке рассылки Ortho