[Ortho] Нелеченный перелом шейки бедра

Alexander Chelnokov orthoforum на weborto.net
Сб Окт 11 01:53:52 YEKST 2008


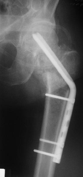
Приветствую всех. Спасибо за активное участие в обсуждении. Выбрали вариант с остеотомией.
Снимки в приложении. 


---
Best regards,
Alexander N. Chelnokov
Ural Scientific Research Institute
of Traumatology and Orthopaedics
7, Bankovsky str. Ekaterinburg 620014 Russia
----------- следущая часть -----------
Вложение не в текстовом формате было извлечено…
Имя     : get_image1.jpg
Тип     : image/jpeg
Размер  : 14875 байтов
Описание: отсутствует
Url     : http://weborto.net:8080/pipermail/ortho/attachments/20081010/f93b6012/attachment-0002.jpg 
----------- следущая часть -----------
Вложение не в текстовом формате было извлечено…
Имя     : get_image2.jpg
Тип     : image/jpeg
Размер  : 20419 байтов
Описание: отсутствует
Url     : http://weborto.net:8080/pipermail/ortho/attachments/20081010/f93b6012/attachment-0003.jpg 


Подробная информация о списке рассылки Ortho