[Ortho] В продолжение темы дислокации бедра (http://weborto.net/forum/1223550617/index_html)

Максим Агалаков maxagal на mail.ru
Сб Окт 18 10:46:17 YEKST 2008


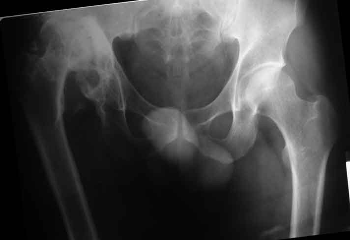
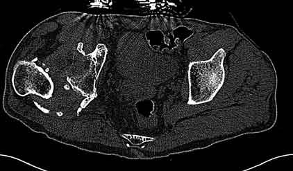
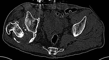
Уважаемые коллеги, пациент 30 лет, 4 года назад попал под поезд, ампутация обеих голеней в в/3, подвздошный вывих бедра (теперь застарелый). несмотря на такую ситуацию, пациент вполне прилично ходит и объем движений в неоартрозе близок к неповрежденной стороне. Основная жалоба - боль при нагрузке и в покое. Планируем двухэтапное лечение: резекция шейки, мобилизация проксимального отдела бедра, низведение бедра АВФ, вторым этапом б/ц эндопротезирование. Как поступить с головкой, вроде бы при протезировании можно будет обойтись без пластики, или ошибаюсь? Оставить ее там, где она есть? Другие варианты лечения.
С уважением, Максим Агалаков









----------- следущая часть -----------
Вложение не в текстовом формате было извлечено…
Имя     : kt2.jpg
Тип     : image/jpeg
Размер  : 13300 байтов
Описание: отсутствует
Url     : http://weborto.net:8080/pipermail/ortho/attachments/20081018/590c1667/attachment-0007.jpg 
----------- следущая часть -----------
Вложение не в текстовом формате было извлечено…
Имя     : kt1.jpg
Тип     : image/jpeg
Размер  : 13145 байтов
Описание: отсутствует
Url     : http://weborto.net:8080/pipermail/ortho/attachments/20081018/590c1667/attachment-0008.jpg 
----------- следущая часть -----------
Вложение не в текстовом формате было извлечено…
Имя     : IMG_1876.jpg
Тип     : image/jpeg
Размер  : 9599 байтов
Описание: отсутствует
Url     : http://weborto.net:8080/pipermail/ortho/attachments/20081018/590c1667/attachment-0009.jpg 
----------- следущая часть -----------
Вложение не в текстовом формате было извлечено…
Имя     : IMG_1875.jpg
Тип     : image/jpeg
Размер  : 7511 байтов
Описание: отсутствует
Url     : http://weborto.net:8080/pipermail/ortho/attachments/20081018/590c1667/attachment-0010.jpg 
----------- следущая часть -----------
Вложение не в текстовом формате было извлечено…
Имя     : 3D3.jpg
Тип     : image/jpeg
Размер  : 10168 байтов
Описание: отсутствует
Url     : http://weborto.net:8080/pipermail/ortho/attachments/20081018/590c1667/attachment-0011.jpg 
----------- следущая часть -----------
Вложение не в текстовом формате было извлечено…
Имя     : 3D2.jpg
Тип     : image/jpeg
Размер  : 6915 байтов
Описание: отсутствует
Url     : http://weborto.net:8080/pipermail/ortho/attachments/20081018/590c1667/attachment-0012.jpg 
----------- следущая часть -----------
Вложение не в текстовом формате было извлечено…
Имя     : 3D1.jpg
Тип     : image/jpeg
Размер  : 9720 байтов
Описание: отсутствует
Url     : http://weborto.net:8080/pipermail/ortho/attachments/20081018/590c1667/attachment-0013.jpg 


Подробная информация о списке рассылки Ortho