[Ortho] Тяжелый открытый перелом бедра и голени - тактика

Djoldas Kuldjanov orthoforum на weborto.net
Вс Окт 19 18:57:14 YEKST 2008


>Сегодня выполнена повторная достаточно радикальная хирургическая обработка ран, иссечены участки уже сформировавшихся некрозов на голени. Рана на бедре чистая, отек значительно уменьшился, так же к сожалению, как и количество отломков: часть пришлось удалить из-за полного отсутствия связи с мягкими тканями. Рана бедра закрыта вакуумной повязкой. Общее состояние улучшается. Последующие рентгенограммы обязательно представлю.

 

Хирургическую обработку надо повторить неоднократно до очищения раны. Фиксатор типа "бедро-голень" помогает стабилизировать конечность и облегчит обслуживание.

Антибиотические бусы в мягких тканях оказывают то же действие, что и в костях, так что при наличии цемента с антибиотиком можно применить их для лечения.

Здесь похожий случай:


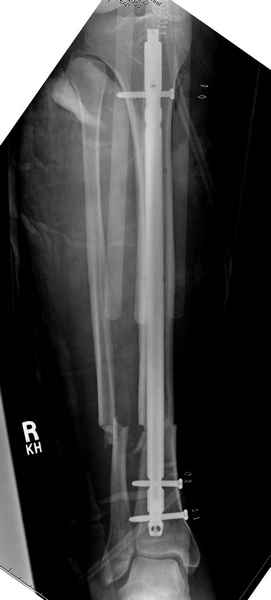
Больному с политравмой установлен наружный "spanning-bridging" фиксатор, после нескольких Irrigation&Debridment на фоне отрицательного посева из раны, через открытый участок установлен 4.5 mm Locking Plate.

На фоне фиксированного перелома бедра мероприятия по восстановлению мягкотканого покрова. Перелом голени зафиксирован после стабилизации бедра традиционным методом.

Антибиотические бусы могут быть оставлены в мягких тканях на длительный срок и не обязательно их удалять.


Djoldas Kuldjanov, MD
Department of Orthopedic Surgery
St. Louis University Medical Center
----------- следущая часть -----------
Вложение не в текстовом формате было извлечено…
Имя     : 1open femur.jpg
Тип     : image/jpeg
Размер  : 16977 байтов
Описание: отсутствует
Url     : http://weborto.net:8080/pipermail/ortho/attachments/20081019/5d26eca9/attachment-0008.jpg 
----------- следущая часть -----------
Вложение не в текстовом формате было извлечено…
Имя     : 2 open femur 3.jpg
Тип     : image/jpeg
Размер  : 14294 байтов
Описание: отсутствует
Url     : http://weborto.net:8080/pipermail/ortho/attachments/20081019/5d26eca9/attachment-0009.jpg 
----------- следущая часть -----------
Вложение не в текстовом формате было извлечено…
Имя     : 4 tibia exfix 2 a.jpg
Тип     : image/jpeg
Размер  : 18013 байтов
Описание: отсутствует
Url     : http://weborto.net:8080/pipermail/ortho/attachments/20081019/5d26eca9/attachment-0010.jpg 
----------- следущая часть -----------
Вложение не в текстовом формате было извлечено…
Имя     : 6 open femur, tibia exfix 3.jpg
Тип     : image/jpeg
Размер  : 44616 байтов
Описание: отсутствует
Url     : http://weborto.net:8080/pipermail/ortho/attachments/20081019/5d26eca9/attachment-0011.jpg 
----------- следущая часть -----------
Вложение не в текстовом формате было извлечено…
Имя     : 7 open femur, tibia exfix 4.jpg
Тип     : image/jpeg
Размер  : 41847 байтов
Описание: отсутствует
Url     : http://weborto.net:8080/pipermail/ortho/attachments/20081019/5d26eca9/attachment-0012.jpg 
----------- следущая часть -----------
Вложение не в текстовом формате было извлечено…
Имя     : 10 open femur 5.jpg
Тип     : image/jpeg
Размер  : 17578 байтов
Описание: отсутствует
Url     : http://weborto.net:8080/pipermail/ortho/attachments/20081019/5d26eca9/attachment-0013.jpg 
----------- следущая часть -----------
Вложение не в текстовом формате было извлечено…
Имя     : 11 open femur fin 2.jpg
Тип     : image/jpeg
Размер  : 43883 байтов
Описание: отсутствует
Url     : http://weborto.net:8080/pipermail/ortho/attachments/20081019/5d26eca9/attachment-0014.jpg 
----------- следущая часть -----------
Вложение не в текстовом формате было извлечено…
Имя     : IMG_2355[1].JPG
Тип     : image/jpeg
Размер  : 30626 байтов
Описание: отсутствует
Url     : http://weborto.net:8080/pipermail/ortho/attachments/20081019/5d26eca9/attachment-0001.jpeg 
----------- следущая часть -----------
Вложение не в текстовом формате было извлечено…
Имя     : tibia fin ap.jpg
Тип     : image/jpeg
Размер  : 19156 байтов
Описание: отсутствует
Url     : http://weborto.net:8080/pipermail/ortho/attachments/20081019/5d26eca9/attachment-0015.jpg 


Подробная информация о списке рассылки Ortho