[Ortho] Огнестрельное ранение бедра

Бережной Сергей orthoforum на weborto.net
Вт Окт 21 23:35:52 YEKST 2008


Уважаемый Иван. 
Несмотря на высокоэнергетический характер ранения, пуля не попала
непосредственно в кость, а прошла рядом. Таким образом, для бедренной
кости это ранение нельзя назватьв полном смысле этого слова
высокоэнергетическим. К сожалению, не видно выходное отверстие. В
любом случае, при таком переломе интрамедуллярный остеосинтез вполне
показан. Кроме того, если пациент попал к Вам в первые часы после
ранения, рана не должна рассматриваться как инфицированная. В
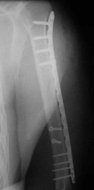
качестве примера возможности даже более травматичной операции при
таком характере перелома привожу следующий случай. Пациент оперирован
на 5-е сутки (переведен из другого лечебного учреждения)после
сквозного пулевого ранения плеча и грудной клетки (непроникающее
ранение той же пулей). Выполнен минимально инвазивный остеосинтез
блокируемой метадиафизарной пластиной, повторная хирургическая
обработка ран плеча. Заживление всех ран первичное, сращение
наступило в обычные сроки.

Бережной Сергей
----------- следущая часть -----------
Вложение не в текстовом формате было извлечено…
Имя     : image002.jpg
Тип     : image/jpeg
Размер  : 5030 байтов
Описание: отсутствует
Url     : http://weborto.net:8080/pipermail/ortho/attachments/20081021/58bc55db/attachment-0002.jpg 
----------- следущая часть -----------
Вложение не в текстовом формате было извлечено…
Имя     : image004.jpg
Тип     : image/jpeg
Размер  : 6900 байтов
Описание: отсутствует
Url     : http://weborto.net:8080/pipermail/ortho/attachments/20081021/58bc55db/attachment-0003.jpg 


Подробная информация о списке рассылки Ortho