[Ortho] эндопротезирование коленного сустава

Игорь Атманский orthoforum на weborto.net
Вс Окт 26 12:38:57 YEKT 2008


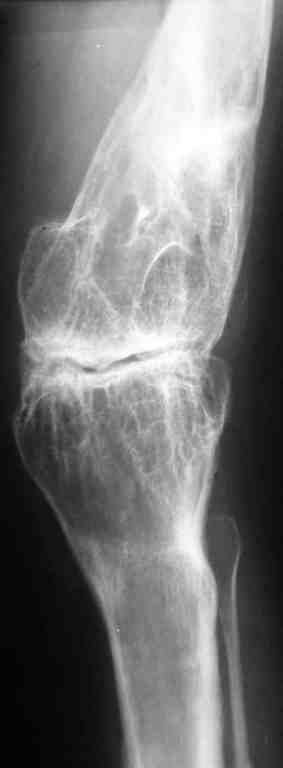
Уважаемые коллеги! К мне обратилась моя бывшая пациентка, 22 лет, с просьбой об
эндопротезировнии коленного сустава. От артродеза категорически отказывается.DS:
Врождённая аномалия развития левой нижней конечности. Состояние после удлинения бедра и
голени (около 45 см). Варусная деформация шейки лев. бедра. Лев. коксартроз II ст. Лев.
гонартроз III ст. Разгибательная контрактура лев. коленного сустава. Парез малоберцового
нерва слева. Укорочение лев. н/конечности 1,5 см.

Жалобы: на боли и нарушение функции в лев. коленном суставе. St. locales: ходит в брейсе с
опорой на 1 трость. Относительная длина ног S 1,5 см. Движения в лев. т/б суставе: сгиб. 70 ,
разг. 180 , привед. 60 , отвед. 110 , вн. рот. 20 , нар. рот. 10 ; в лев. к/сус. пассивно: сгибание 0
, разг. - 180 + 30 ; активно на переразгибание и из положения переразгибание на сгибание
2балла. Под нагрузкой вальгусно-рекурвационная деформация: клиничски на val. 15-20 , rec.
- 30 . Движения в лев. голеностопном суставе (акт./пас.): тыл. фл. 0 /90 , под. фл. 170 , отвед.
10 /15 , прив. 25 . Функция в других суставах не нарушена. Предполагаю, что наиболее лучшим
вариантом будет двух этапное протезирование. На первом этапе устранить антекурвацию на
бедре аппаратом Илизарова; вторым этапом протезирование заднее-стабилизирующим
протезом фирмы "Zimmer" , т.к. маленькие размеры бедренной и большеберцовой костей.
Возможны ли другие варианты лечения? Возможно ли одно этапное
протезирование?
Целесообразно ли в данном случае протезирование? Может быть не стоит
идти на поводу у пациентки. Буду очень признателен всем, кто
откликнется на мою просьбу.

С уважением Игорь Атманский.

----------- следущая часть -----------
Вложение не в текстовом формате было извлечено…
Имя     : 1.jpg
Тип     : image/jpeg
Размер  : 8243 байтов
Описание: отсутствует
Url     : http://weborto.net:8080/pipermail/ortho/attachments/20081026/05a24431/attachment-0001.jpg 


Подробная информация о списке рассылки Ortho