[Ortho] Опухоль бедренной кости

Ihor orthoforum на weborto.net
Пн Окт 27 23:34:32 YEKT 2008


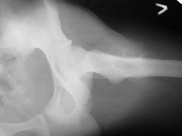
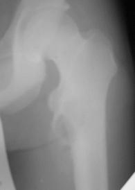
Здравствуйте ,уважаемые коллеги.Обратился парень 15ти лет с жалобами на боли в левом
коленном суставе. При обследовании обнаружена опухоль в в/з левой бедренной кости.


Проведено КТ заключение( остеохондрома) Подскажите пожалуйста, стоит ли сделать биопсию
перед операцией .Кокой операционный доступ и технику операции Вы посоветуете. С уважением
Игорь.
Ihor
----------- следущая часть -----------
Вложение не в текстовом формате было извлечено…
Имя     : IMG_1693.jpg
Тип     : image/jpeg
Размер  : 2870 байтов
Описание: отсутствует
Url     : http://weborto.net:8080/pipermail/ortho/attachments/20081027/aa66ca1a/attachment.jpg 
----------- следущая часть -----------
Вложение не в текстовом формате было извлечено…
Имя     : IMG_1695tumor.jpg
Тип     : image/jpeg
Размер  : 5978 байтов
Описание: отсутствует
Url     : http://weborto.net:8080/pipermail/ortho/attachments/20081027/aa66ca1a/attachment-0001.jpg 


Подробная информация о списке рассылки Ortho