[Ortho] МОС бедра, сустава Лисфранка.Тактика?

Петр orthoforum на weborto.net
Вт Окт 28 23:04:55 YEKT 2008


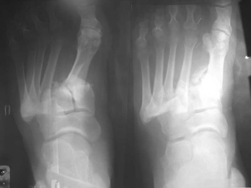
Здравствуйте , уважаемые коллеги. Обратился пациент, мужчина 42лет. для дальнейшего
лечения. Травма 11.09., ДТП.

15.09 проведено оперативное лечение (Блокирующий стержень левого
бедра - статическая система. Открытое вправление вывиха в суставе
Лисфранка и фиксация мет. фиксаторами.) 


D.S. Переломы диафиза и межмыщелковой области левого бедра, вывих в
суставе Лисфранка правой стопы. Состояние после МОС. Через 6 нед.
контрольная Ro, (снимки прилагаются).
По тактике дальнейшего лечения мнения разошлись.

По бедру : 1- учитывая межмыщелковый перелом статическая система 3
мес., и перевод в динамическую, наблюдение.

2- При такой Ro - картине будет ложный сустав или рефрактура после
удаления стержня, и поэтому идти на пластину с костной пластикой.

По суставу Лисфранка : 1- 8 -9 нед . полный покой в гипсовой шине,а
потом дозированная нагрузка. 2- Сейчас (на 7 нед.) пригипсовать
каблук под пятку и давать дозированную нагрузку, и на 12 нед,
одновременно с  переводом статической системы в динамическую провести
удаление фиксаторов из стопы. Какую тактику посоветуете Вы?.

Петр
----------- следущая часть -----------
Вложение не в текстовом формате было извлечено…
Имя     : Изображение 008.jpg
Тип     : image/jpeg
Размер  : 17549 байтов
Описание: отсутствует
Url     : http://weborto.net:8080/pipermail/ortho/attachments/20081028/80989148/attachment-0007.jpg 
----------- следущая часть -----------
Вложение не в текстовом формате было извлечено…
Имя     : Изображение 009.jpg
Тип     : image/jpeg
Размер  : 11874 байтов
Описание: отсутствует
Url     : http://weborto.net:8080/pipermail/ortho/attachments/20081028/80989148/attachment-0008.jpg 
----------- следущая часть -----------
Вложение не в текстовом формате было извлечено…
Имя     : Изображение 010.jpg
Тип     : image/jpeg
Размер  : 11088 байтов
Описание: отсутствует
Url     : http://weborto.net:8080/pipermail/ortho/attachments/20081028/80989148/attachment-0009.jpg 
----------- следущая часть -----------
Вложение не в текстовом формате было извлечено…
Имя     : Изображение 011.jpg
Тип     : image/jpeg
Размер  : 8020 байтов
Описание: отсутствует
Url     : http://weborto.net:8080/pipermail/ortho/attachments/20081028/80989148/attachment-0010.jpg 
----------- следущая часть -----------
Вложение не в текстовом формате было извлечено…
Имя     : Изображение 014.jpg
Тип     : image/jpeg
Размер  : 16065 байтов
Описание: отсутствует
Url     : http://weborto.net:8080/pipermail/ortho/attachments/20081028/80989148/attachment-0011.jpg 
----------- следущая часть -----------
Вложение не в текстовом формате было извлечено…
Имя     : Изображение 015.jpg
Тип     : image/jpeg
Размер  : 8230 байтов
Описание: отсутствует
Url     : http://weborto.net:8080/pipermail/ortho/attachments/20081028/80989148/attachment-0012.jpg 
----------- следущая часть -----------
Вложение не в текстовом формате было извлечено…
Имя     : Изображение 016.jpg
Тип     : image/jpeg
Размер  : 7751 байтов
Описание: отсутствует
Url     : http://weborto.net:8080/pipermail/ortho/attachments/20081028/80989148/attachment-0013.jpg 


Подробная информация о списке рассылки Ortho