[Ortho] НЕОПОРНОЕ БЕДРО

Ахтямов Ильдар yalta60 на mail.ru
Ср Окт 29 00:40:33 YEKT 2008


 Уважаемый Леонид Наумович!
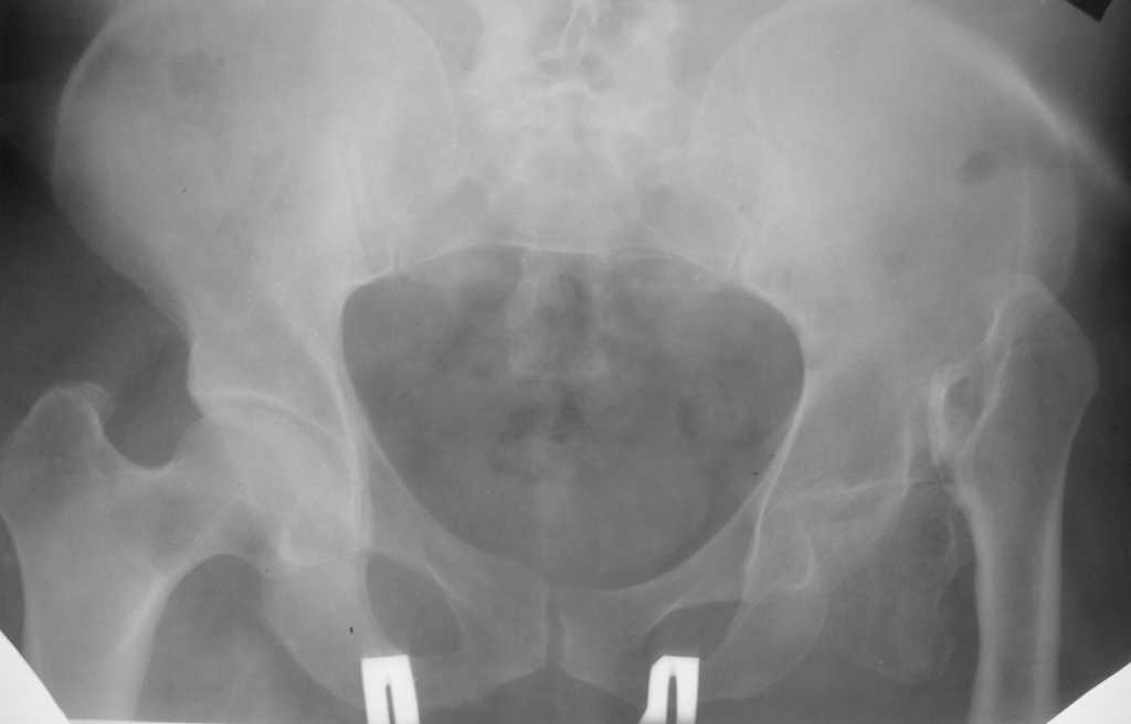
Приведу клинический пример несколько схожий с Вашим. Пациент 56 лет, 18 лет назад получил перелом шейки бедренной кости. Полноценного лечения не получил и остался с неопорным бедром. Укорочение было в районе 6-7 см. Первым этапом после миотомии приводящих мышц в теч. 2-х недель низвели бедро аппаратом Илизарова, далее сняв аппарат установили эндопротез гибридной фиксации (выраженный остепороз впадины ввиду отсутствия нагрузки). К сожалению, в процессе установки ножки эндопротеза произошёл перипротезный перелом медиальной стенки и профилактически мы наложили серкляжные швы. Контроль через 12 месяцев -укорочения нет, функция нормальная. Оперирован в 2005 году. с 2006 года к нам не обращался. АИФ

Фрагория - онлайн-игра нового поколения!
http://r.mail.ru/cln4380/fragoria.mail.ru/






----------- следущая часть -----------
Вложение не в текстовом формате было извлечено…
Имя     : F 1.05 (1).JPG
Тип     : image/jpeg
Размер  : 12917 байтов
Описание: отсутствует
Url     : http://weborto.net:8080/pipermail/ortho/attachments/20081029/056d7ff4/attachment-0006.jpeg 
----------- следущая часть -----------
Вложение не в текстовом формате было извлечено…
Имя     : F 1.05 (3).JPG
Тип     : image/jpeg
Размер  : 14510 байтов
Описание: отсутствует
Url     : http://weborto.net:8080/pipermail/ortho/attachments/20081029/056d7ff4/attachment-0007.jpeg 
----------- следущая часть -----------
Вложение не в текстовом формате было извлечено…
Имя     : F 1.05.JPG
Тип     : image/jpeg
Размер  : 16662 байтов
Описание: отсутствует
Url     : http://weborto.net:8080/pipermail/ortho/attachments/20081029/056d7ff4/attachment-0008.jpeg 
----------- следущая часть -----------
Вложение не в текстовом формате было извлечено…
Имя     : F 12 МПО.JPG
Тип     : image/jpeg
Размер  : 19704 байтов
Описание: отсутствует
Url     : http://weborto.net:8080/pipermail/ortho/attachments/20081029/056d7ff4/attachment-0009.jpeg 
----------- следущая часть -----------
Вложение не в текстовом формате было извлечено…
Имя     : F 12 МПО (1).JPG
Тип     : image/jpeg
Размер  : 13166 байтов
Описание: отсутствует
Url     : http://weborto.net:8080/pipermail/ortho/attachments/20081029/056d7ff4/attachment-0010.jpeg 
----------- следущая часть -----------
Вложение не в текстовом формате было извлечено…
Имя     : F 12 МПО (2).JPG
Тип     : image/jpeg
Размер  : 9547 байтов
Описание: отсутствует
Url     : http://weborto.net:8080/pipermail/ortho/attachments/20081029/056d7ff4/attachment-0011.jpeg 


Подробная информация о списке рассылки Ortho