[Ortho] МОС бедра, сустава Лисфранка.Тактика?

Ivan Petrov orthoforum на weborto.net
Чт Окт 30 01:13:35 YEKT 2008


Уважаемый Алексей. 
Ситуация несколько сложней, чем представляется на первый взгляд.
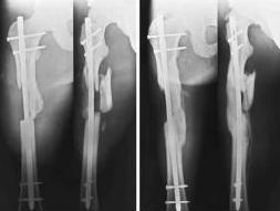
>>>Стержень конечно тонковат, торчит в колено...
Видимо не просто так он торчит, а его специально не добили, чтобы мыщелки "зацепить" на обе стяжки.
>>>Если не будет нагрузки, получите замедленное стащение...
Мне доводилось  раз 5 вести переломы диафиза бедра со смещением консервативно (скелетное вытяжение, кокситная повязка). Без нагрузки в течение 4-5 месяцев все прекрасно срастается, даже при неидеальной репозиции.
Кроме того, есть рекомендации АО ("Принцип био-
логичного остеосинтеза заключается в минимизации ущерба биологии вследствие хирургического вмешательства и контакта с имплантатом. Это достигается за счет менее точной репозиции и менее
жесткой фиксации")и картинки в ряде классических руководств (вложеннный рисунок)
А вот если дать раннюю нагрузку на мыщелковые переломы бедра, может случится беда.
>>>Просто перештифтуйте ЗАКРЫТО более массивным штифтом, с рассверливанием и заблокируйте динамично. 
А вот это до полной консолидации мыщелков сложновато. надо сначала влезть в коленный сустав, удалить гвоздь, выполнить ретроградное рассверливание и  введение толстого штифта, не развалив при этом мыщелки. Коленка может "обидиться" на повоторное штифтование. Если штифтовать антеградно опять возникает вопрос: надо ли предварительно фиксировать мыщелки винтами?
Согласен, что пластина с костной плаcтикой  - это лишнее.
В ведении даннного больного важно, если консолидация не наступает в ожидаемые сроки, своевременно поменять имплантат до его поломки. имплантатов
Ivan Petrov
----------- следущая часть -----------
Вложение не в текстовом формате было извлечено…
Имя     : Безымянный.jpg
Тип     : image/jpeg
Размер  : 6377 байтов
Описание: отсутствует
Url     : http://weborto.net:8080/pipermail/ortho/attachments/20081030/61968cb9/attachment-0001.jpg 


Подробная информация о списке рассылки Ortho