[Ortho] От Виноградского

Александр Виноградский vinalexc на mail.ru
Пн Сен 15 20:51:53 YEKST 2008


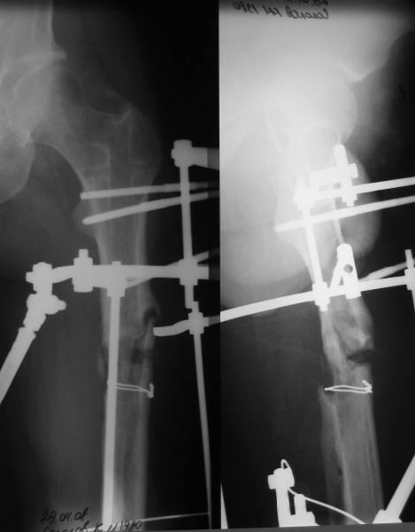
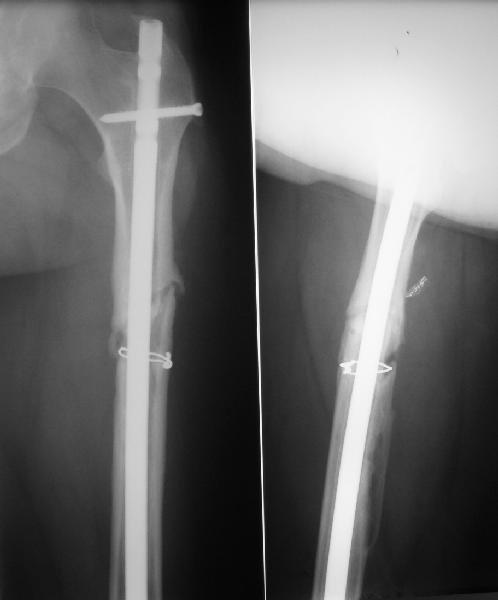
фото несращения бедра










----------- следущая часть -----------
Вложение не в текстовом формате было извлечено…
Имя     : фото 6б.jpe
Тип     : image/jpeg
Размер  : 8530 байтов
Описание: отсутствует
Url     : http://weborto.net:8080/pipermail/ortho/attachments/20080915/f3b6f52d/attachment-0009.jpe 
----------- следущая часть -----------
Вложение не в текстовом формате было извлечено…
Имя     : фото 6а.jpe
Тип     : image/jpeg
Размер  : 9533 байтов
Описание: отсутствует
Url     : http://weborto.net:8080/pipermail/ortho/attachments/20080915/f3b6f52d/attachment-0010.jpe 
----------- следущая часть -----------
Вложение не в текстовом формате было извлечено…
Имя     : фото 5.jpe
Тип     : image/jpeg
Размер  : 26492 байтов
Описание: отсутствует
Url     : http://weborto.net:8080/pipermail/ortho/attachments/20080915/f3b6f52d/attachment-0011.jpe 
----------- следущая часть -----------
Вложение не в текстовом формате было извлечено…
Имя     : фото 4.jpe
Тип     : image/jpeg
Размер  : 23524 байтов
Описание: отсутствует
Url     : http://weborto.net:8080/pipermail/ortho/attachments/20080915/f3b6f52d/attachment-0012.jpe 
----------- следущая часть -----------
Вложение не в текстовом формате было извлечено…
Имя     : фото 3.jpe
Тип     : image/jpeg
Размер  : 19154 байтов
Описание: отсутствует
Url     : http://weborto.net:8080/pipermail/ortho/attachments/20080915/f3b6f52d/attachment-0013.jpe 
----------- следущая часть -----------
Вложение не в текстовом формате было извлечено…
Имя     : фото 2 б.jpe
Тип     : image/jpeg
Размер  : 7149 байтов
Описание: отсутствует
Url     : http://weborto.net:8080/pipermail/ortho/attachments/20080915/f3b6f52d/attachment-0014.jpe 
----------- следущая часть -----------
Вложение не в текстовом формате было извлечено…
Имя     : фото 2а.jpe
Тип     : image/jpeg
Размер  : 12273 байтов
Описание: отсутствует
Url     : http://weborto.net:8080/pipermail/ortho/attachments/20080915/f3b6f52d/attachment-0015.jpe 
----------- следущая часть -----------
Вложение не в текстовом формате было извлечено…
Имя     : фото 1 б.jpe
Тип     : image/jpeg
Размер  : 11277 байтов
Описание: отсутствует
Url     : http://weborto.net:8080/pipermail/ortho/attachments/20080915/f3b6f52d/attachment-0016.jpe 
----------- следущая часть -----------
Вложение не в текстовом формате было извлечено…
Имя     : фото 1а.jpe
Тип     : image/jpeg
Размер  : 11467 байтов
Описание: отсутствует
Url     : http://weborto.net:8080/pipermail/ortho/attachments/20080915/f3b6f52d/attachment-0017.jpe 


Подробная информация о списке рассылки Ortho