[Ortho] Перелом вертлужной впадины

Алексей Крылосов orthoforum на weborto.net
Пн Сен 22 22:22:33 YEKST 2008


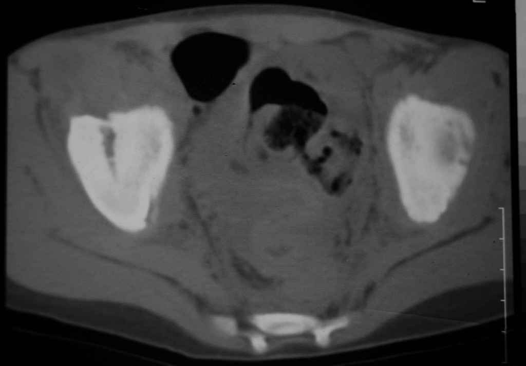
Уважаемые коллеги, помогите определиться с тактикой лечения. Ребёнок 7 лет, травма
11.09.08, поступил с травматическим вывихом бедренной кости. Вывих вправлен, конечность
фиксирована на скелетном вытяжении. Что делать с переломом подвздошной кости? Лечить
консерватино или оперировать?

Алексей Крылосов
ДГКБ N9, Екатеринбург

----------- УМЕДХЭБС ЮБУФШ -----------
Вложение не в текстовом формате было извлечено…
Имя     : DSC_5358.jpg
Тип     : image/jpeg
Размер  : 24381 байтов
Описание: отсутствует
Url     : http://weborto.net:8080/pipermail/ortho/attachments/20080922/05eee294/attachment-0009.jpg 
----------- УМЕДХЭБС ЮБУФШ -----------
Вложение не в текстовом формате было извлечено…
Имя     : DSC_5362.jpg
Тип     : image/jpeg
Размер  : 13975 байтов
Описание: отсутствует
Url     : http://weborto.net:8080/pipermail/ortho/attachments/20080922/05eee294/attachment-0010.jpg 
----------- УМЕДХЭБС ЮБУФШ -----------
Вложение не в текстовом формате было извлечено…
Имя     : DSC_5373.jpg
Тип     : image/jpeg
Размер  : 17249 байтов
Описание: отсутствует
Url     : http://weborto.net:8080/pipermail/ortho/attachments/20080922/05eee294/attachment-0011.jpg 
----------- УМЕДХЭБС ЮБУФШ -----------
Вложение не в текстовом формате было извлечено…
Имя     : DSC_5374.jpg
Тип     : image/jpeg
Размер  : 22777 байтов
Описание: отсутствует
Url     : http://weborto.net:8080/pipermail/ortho/attachments/20080922/05eee294/attachment-0012.jpg 
----------- УМЕДХЭБС ЮБУФШ -----------
Вложение не в текстовом формате было извлечено…
Имя     : DSC_5376.jpg
Тип     : image/jpeg
Размер  : 29555 байтов
Описание: отсутствует
Url     : http://weborto.net:8080/pipermail/ortho/attachments/20080922/05eee294/attachment-0013.jpg 
----------- УМЕДХЭБС ЮБУФШ -----------
Вложение не в текстовом формате было извлечено…
Имя     : DSC_5379.jpg
Тип     : image/jpeg
Размер  : 20658 байтов
Описание: отсутствует
Url     : http://weborto.net:8080/pipermail/ortho/attachments/20080922/05eee294/attachment-0014.jpg 
----------- УМЕДХЭБС ЮБУФШ -----------
Вложение не в текстовом формате было извлечено…
Имя     : DSC_5380.jpg
Тип     : image/jpeg
Размер  : 17546 байтов
Описание: отсутствует
Url     : http://weborto.net:8080/pipermail/ortho/attachments/20080922/05eee294/attachment-0015.jpg 
----------- УМЕДХЭБС ЮБУФШ -----------
Вложение не в текстовом формате было извлечено…
Имя     : DSC_5383.jpg
Тип     : image/jpeg
Размер  : 20026 байтов
Описание: отсутствует
Url     : http://weborto.net:8080/pipermail/ortho/attachments/20080922/05eee294/attachment-0016.jpg 
----------- УМЕДХЭБС ЮБУФШ -----------
Вложение не в текстовом формате было извлечено…
Имя     : DSC_5385.jpg
Тип     : image/jpeg
Размер  : 18149 байтов
Описание: отсутствует
Url     : http://weborto.net:8080/pipermail/ortho/attachments/20080922/05eee294/attachment-0017.jpg 


Подробная информация о списке рассылки Ortho