[Ortho] Травма кисти

Сергей Ушаков orthoforum на weborto.net
Пн Сен 22 22:23:20 YEKST 2008


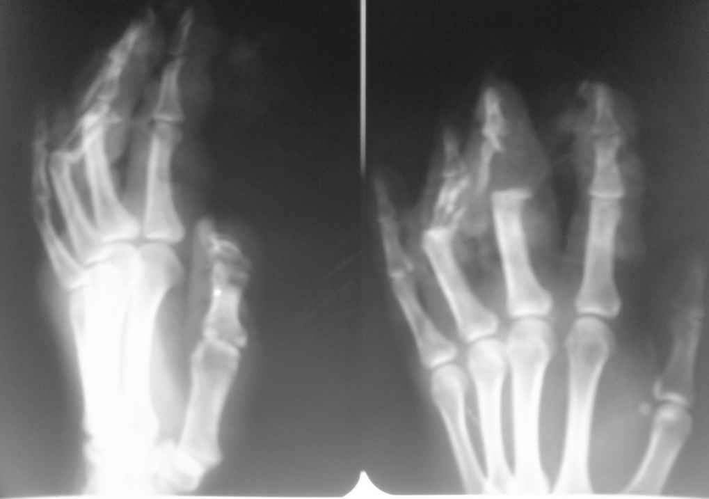
Пациентка 32 лет, врач-гинеколог. Травма электрорубанком 31.08.08 


Диагноз: открытый оскольчатый перелом средних фаланг 3-4 пальцев левой
кисти, травматический дефект средней фаланги 3-4 пальцев.
<br>Травматический дефект кожи и сухожилий разгибателей 2,3,4 пальцев.
При поступлении выполненно ПХО ран, фиксация фаланг спицами в
положении разгибания, синдактилия. Пласитка кожного дефекта
полнослойным мостовидным лоскутом. Заживление ран первичное. Лоскут
жизнеспособен.
Какова дальнейшая тактика лечения?
В отделении хиургии кисти предложено одномоментное отсечение лоскута с
обеих сторон от донорского ложа в 3-4 недели без тренировки лоскута.
Артродез межфаланговых суставов 3-4 пальцев. Тендопластика сухожилия
разгибателя 2ого пальца.
1 Необходимо ли тренировать лоскут?
2 Отсекать мостовидный лоскут одномоментно или поочередно.
3 В какой последовательности разделять пальцы.
4 возможен ли вариант эндопротезирования межфаланговых суставов.

Ушаков Сергей, 36 ГБ, Екатеринбург

----------- УМЕДХЭБС ЮБУФШ -----------
Вложение не в текстовом формате было извлечено&hellip;
Имя     : DSC00033.JPG
Тип     : image/jpeg
Размер  : 34392 байтов
Описание: отсутствует
Url     : http://weborto.net:8080/pipermail/ortho/attachments/20080922/4f56ada3/attachment-0003.jpeg 
----------- УМЕДХЭБС ЮБУФШ -----------
Вложение не в текстовом формате было извлечено&hellip;
Имя     : DSC00031.JPG
Тип     : image/jpeg
Размер  : 21704 байтов
Описание: отсутствует
Url     : http://weborto.net:8080/pipermail/ortho/attachments/20080922/4f56ada3/attachment-0004.jpeg 
----------- УМЕДХЭБС ЮБУФШ -----------
Вложение не в текстовом формате было извлечено&hellip;
Имя     : DSC00032.JPG
Тип     : image/jpeg
Размер  : 37029 байтов
Описание: отсутствует
Url     : http://weborto.net:8080/pipermail/ortho/attachments/20080922/4f56ada3/attachment-0005.jpeg 


Подробная информация о списке рассылки Ortho