[Ortho] Сегментарный перелом бедра - открыто или закрыто?

Алексей Смирнов asmirnov на sandy.ru
Пн Сен 29 00:04:12 YEKST 2008


Привет из Нижнего Новгорода! 

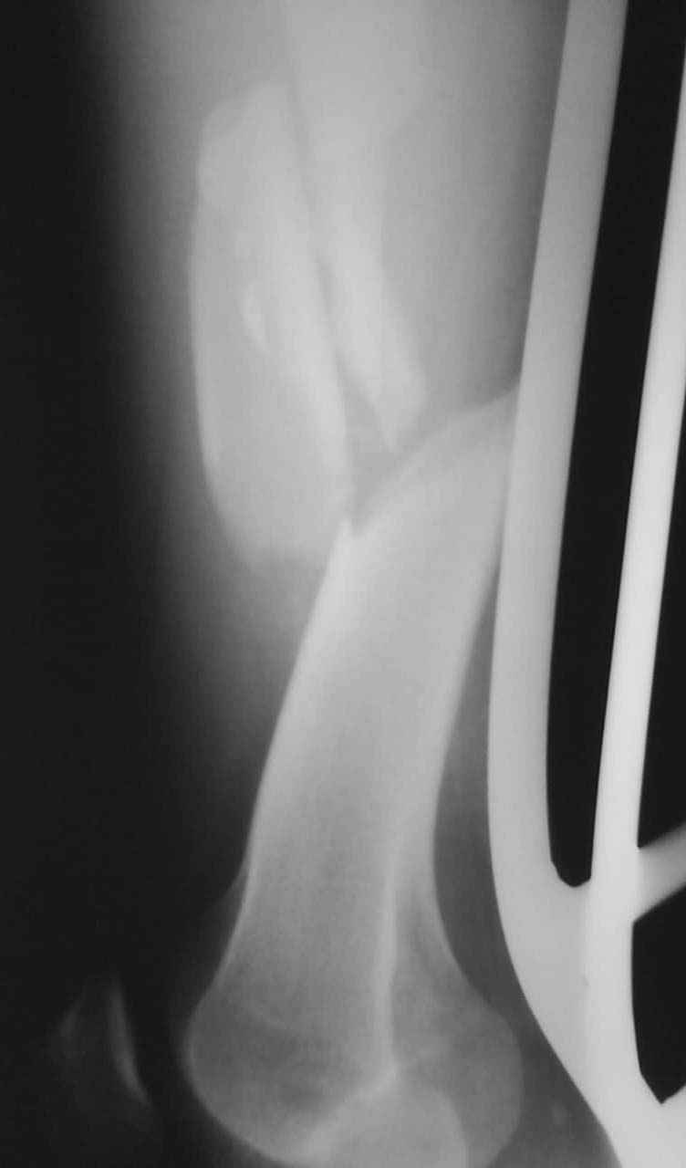
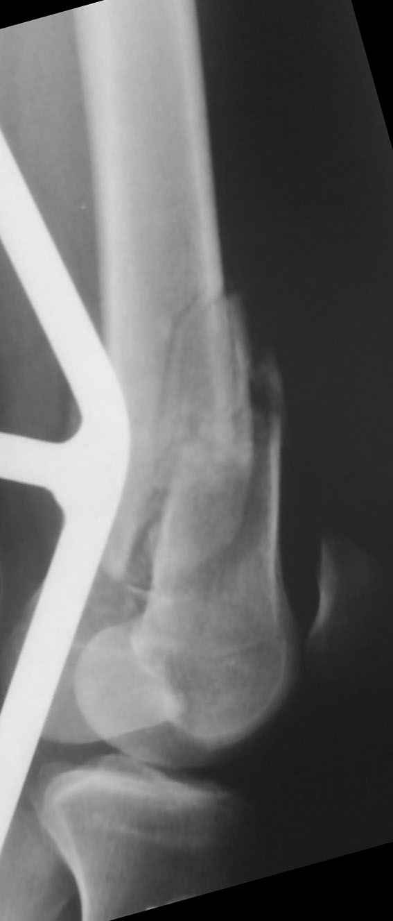
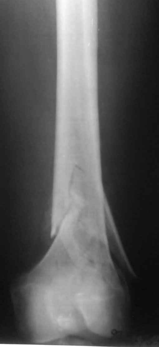
К нам поступил пациент 25 лет с закрытыми переломами обех бедренных
костей, прошел месяц после травмы. Слева-внутрисуставной перелом,
поэтому  выбор здесь очевиден, открытая репозиция, стабильная
фиксация, скорее всего LCP DF, а справа - мнения учёных, как
говорится, разошлись. Лично я, как лечащий врач, за закрытый
интрамедуллярный остеосинтез DFN. Со мной согласна половина
коллектива, другая - за интрамедуллярный остеосинтез (DFN,UFN) но с
открытой реопозицией, поскольку при закрытой методике все осколки
останутся где-то сбоку, получится дефект и вдруг не срастется!
Философский вопрос: что лучше - красивая рентгенограмма или сохранение
кровоснабжения? Очень важно мнение коллег!
 
   Смирнов Алексей
----------- УМЕДХЭБС ЮБУФШ -----------
Вложение не в текстовом формате было извлечено…
Имя     : DSC02729.JPG
Тип     : image/jpeg
Размер  : 20491 байтов
Описание: отсутствует
Url     : http://weborto.net:8080/pipermail/ortho/attachments/20080929/74d912ff/attachment-0004.jpeg 
----------- УМЕДХЭБС ЮБУФШ -----------
Вложение не в текстовом формате было извлечено…
Имя     : DSC02726.JPG
Тип     : image/jpeg
Размер  : 31125 байтов
Описание: отсутствует
Url     : http://weborto.net:8080/pipermail/ortho/attachments/20080929/74d912ff/attachment-0005.jpeg 
----------- УМЕДХЭБС ЮБУФШ -----------
Вложение не в текстовом формате было извлечено…
Имя     : DSC02727.JPG
Тип     : image/jpeg
Размер  : 21089 байтов
Описание: отсутствует
Url     : http://weborto.net:8080/pipermail/ortho/attachments/20080929/74d912ff/attachment-0006.jpeg 
----------- УМЕДХЭБС ЮБУФШ -----------
Вложение не в текстовом формате было извлечено…
Имя     : DSC02728.JPG
Тип     : image/jpeg
Размер  : 26836 байтов
Описание: отсутствует
Url     : http://weborto.net:8080/pipermail/ortho/attachments/20080929/74d912ff/attachment-0007.jpeg 


Подробная информация о списке рассылки Ortho