[Ortho] Нелеченный перелом шейки бедра

Alexander Chelnokov alex на weborto.net
Пн Сен 29 18:31:11 YEKST 2008


Дорогие коллеги,

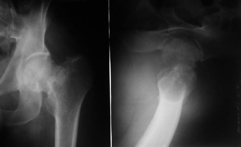
Поступил пациент 50 лет, из области. Травма 18.08.08. Лечили
консервативно. Сейчас вот чего-то спохватились и направили. Движения в
тазобедренном суставе практически безболезненны, кроме форсированной
внутренней ротации. В остальном проблем со здоровьем нет.
Рентгенограмма в приложении. Видимо, выбирать приходится в первую
очередь между вальгизирующей остеотомией и эндопротезированием.
Что в этой ситуации лучше предпринять? Есть ли еще какие-то варианты?
Спасибо.


-- 
Best regards,
 Alexander N. Chelnokov
Ural Scientific Research Institute 
of Traumatology and Orthopaedics
7, Bankovsky str. Ekaterinburg 620014 Russia
-------------- next part --------------
A non-text attachment was scrubbed...
Name: get_image.jpg
Type: image/jpeg
Size: 23599 bytes
Desc: not available
Url : http://weborto.net:8080/pipermail/ortho/attachments/20080929/d85bac25/attachment-0001.jpg 


Подробная информация о списке рассылки Ortho