[Ortho] Тяжелый перелом пилона

Игорь orthoforum на weborto.net
Вт Сен 30 22:26:46 YEKST 2008


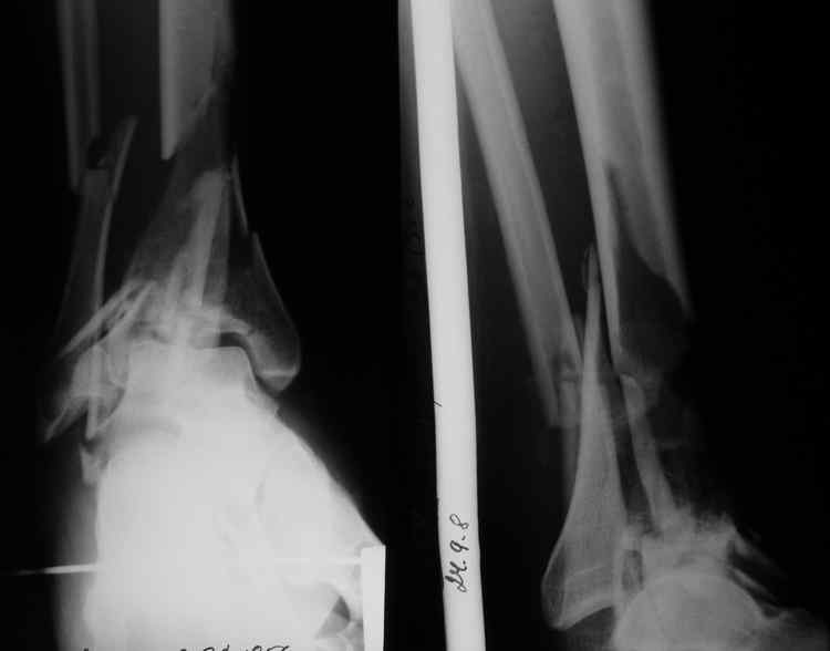
Прошу высказать мнение по поводу лечения перелома голени. Мужчина 54 года, травма 24.09.08. Перелом закрытый.

Игорь

----------- следущая часть -----------
Вложение не в текстовом формате было извлечено…
Имя     : IMGP2893.JPG
Тип     : image/jpeg
Размер  : 50028 байтов
Описание: отсутствует
Url     : http://weborto.net:8080/pipermail/ortho/attachments/20080930/d9d051a3/attachment-0001.jpeg 


Подробная информация о списке рассылки Ortho