[Ortho] Комбинированная контрактура кисти

Юрий Алексеевич Булахтин orthoforum на weborto.net
Чт Апр 2 23:02:38 YEKST 2009


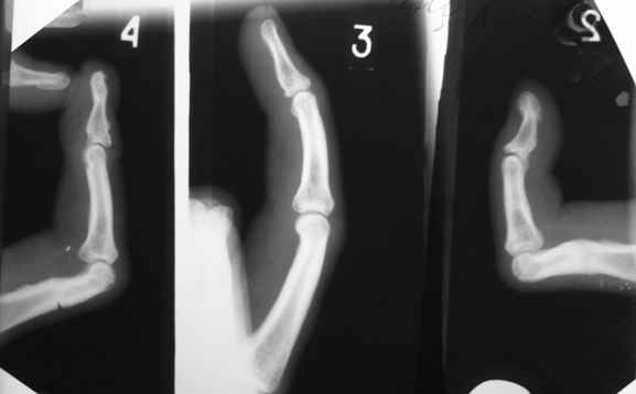
  Ограничение движений одинаковое и активных и пассивных. Движения в указанном объеме свободные. Чем вызвано ограничение понять пока не можем. В боковой проекции досняли - получается, что подвывиха нет. Вопросов, в отношении того, что мешает  стало еще больше.

 С уважением, Ю.А.Булахтин
----------- следущая часть -----------
Вложение не в текстовом формате было извлечено…
Имя     : Боковые ПМФС.JPG
Тип     : image/jpeg
Размер  : 11305 байтов
Описание: отсутствует
Url     : http://weborto.net:8080/pipermail/ortho/attachments/20090402/8ef7bf4d/attachment-0001.jpeg 


Подробная информация о списке рассылки Ortho