[Ortho] Псевдартроз грудины

Djoldas Kuldjanov orthoforum на weborto.net
Пт Апр 3 20:22:56 YEKST 2009


>"классический" остеосинтез проволокой, иногда подкладываю шайбы, чтобы не прорезалась


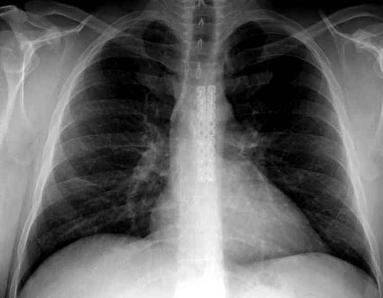
Юра, интересно, насколько такой остеосинтез контролирует степень
репозиции, а то у меня имеются снимки девочки 11 лет, направленной ко
мне на консультацию из одной республик бывшего союза.

После торакальной операции, по-видимому, сильно натянули проволоку, и
в результате получился захлест отломков в друг друга. 

Оперировавший хирург предлагает подождать, а родителей беспокоит
проблема прогрессирующей ассиметрии лица, как при кривошее.

С такими продольными несращениями мне не приходилось иметь дело,
поэтому направил в один из центральных институтов детской ортопедии
России.  

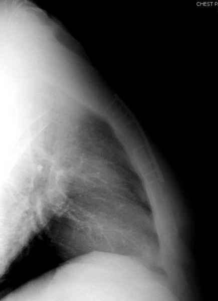
 А простые посттравматические ложные суставы грудины приходилось
оперировать с ограничителем сверла и с фиксацией 2.4 мм пластинами с
угловой стабильностью.

Djoldas Kuldjanov, MD
Department of Orthopedic Surgery
St. Louis University Medical Center
----------- следущая часть -----------
Вложение не в текстовом формате было извлечено…
Имя     : 1 Nonunion sternum CRM.jpg
Тип     : image/jpeg
Размер  : 20465 байтов
Описание: отсутствует
Url     : http://weborto.net:8080/pipermail/ortho/attachments/20090403/0de56d8e/attachment-0010.jpg 
----------- следущая часть -----------
Вложение не в текстовом формате было извлечено…
Имя     : 2 Nonunion sternum CRM.jpg
Тип     : image/jpeg
Размер  : 12595 байтов
Описание: отсутствует
Url     : http://weborto.net:8080/pipermail/ortho/attachments/20090403/0de56d8e/attachment-0011.jpg 
----------- следущая часть -----------
Вложение не в текстовом формате было извлечено…
Имя     : 3 Nonunion sternum ap.jpg
Тип     : image/jpeg
Размер  : 32563 байтов
Описание: отсутствует
Url     : http://weborto.net:8080/pipermail/ortho/attachments/20090403/0de56d8e/attachment-0012.jpg 
----------- следущая часть -----------
Вложение не в текстовом формате было извлечено…
Имя     : 4 Nonunion sternum lat.jpg
Тип     : image/jpeg
Размер  : 17543 байтов
Описание: отсутствует
Url     : http://weborto.net:8080/pipermail/ortho/attachments/20090403/0de56d8e/attachment-0013.jpg 
----------- следущая часть -----------
Вложение не в текстовом формате было извлечено…
Имя     : sternum ap.jpg
Тип     : image/jpeg
Размер  : 30465 байтов
Описание: отсутствует
Url     : http://weborto.net:8080/pipermail/ortho/attachments/20090403/0de56d8e/attachment-0014.jpg 
----------- следущая часть -----------
Вложение не в текстовом формате было извлечено…
Имя     : sternum lat.jpg
Тип     : image/jpeg
Размер  : 28637 байтов
Описание: отсутствует
Url     : http://weborto.net:8080/pipermail/ortho/attachments/20090403/0de56d8e/attachment-0015.jpg 
----------- следущая часть -----------
Вложение не в текстовом формате было извлечено…
Имя     : sternum lat 2.jpg
Тип     : image/jpeg
Размер  : 27402 байтов
Описание: отсутствует
Url     : http://weborto.net:8080/pipermail/ortho/attachments/20090403/0de56d8e/attachment-0016.jpg 
----------- следущая часть -----------
Вложение не в текстовом формате было извлечено…
Имя     : sternum obliq.jpg
Тип     : image/jpeg
Размер  : 27636 байтов
Описание: отсутствует
Url     : http://weborto.net:8080/pipermail/ortho/attachments/20090403/0de56d8e/attachment-0017.jpg 
----------- следущая часть -----------
Вложение не в текстовом формате было извлечено…
Имя     : sternum obliq 2.jpg
Тип     : image/jpeg
Размер  : 29232 байтов
Описание: отсутствует
Url     : http://weborto.net:8080/pipermail/ortho/attachments/20090403/0de56d8e/attachment-0018.jpg 
----------- следущая часть -----------
Вложение не в текстовом формате было извлечено…
Имя     : sternum post.jpg
Тип     : image/jpeg
Размер  : 26502 байтов
Описание: отсутствует
Url     : http://weborto.net:8080/pipermail/ortho/attachments/20090403/0de56d8e/attachment-0019.jpg 


Подробная информация о списке рассылки Ortho