[Ortho] Псевдартроз грудины

Юрий Алексеевич vertebra на mail.iks.ru
Сб Апр 4 13:44:21 YEKST 2009


        Доброго времени суток, Джолдас!

 "насколько такой остеосинтез контролирует степень
репозиции"

  При продольном доступе контролировать репозицию визуально очень легко
 именно  из-за  его  протяженности. Для защиты подлежащих образований,
 когда  сверлю  пользуюсь обычным мозговым шпателем из трепанационного
 нейрохирургического   набора.   И   вообще  вся  операция  похожа  на
 "пришивание"  костного  лоскута на черепе. Извини, не нашел снимков -
 не фотографировал, т.к. непрофильные больные.

"а то у меня имеются снимки девочки 11 лет, направленной ко
мне на консультацию из одной республик бывшего союза
После торакальной операции, по-видимому, сильно натянули проволоку, и
в результате получился захлест отломков в друг друга."

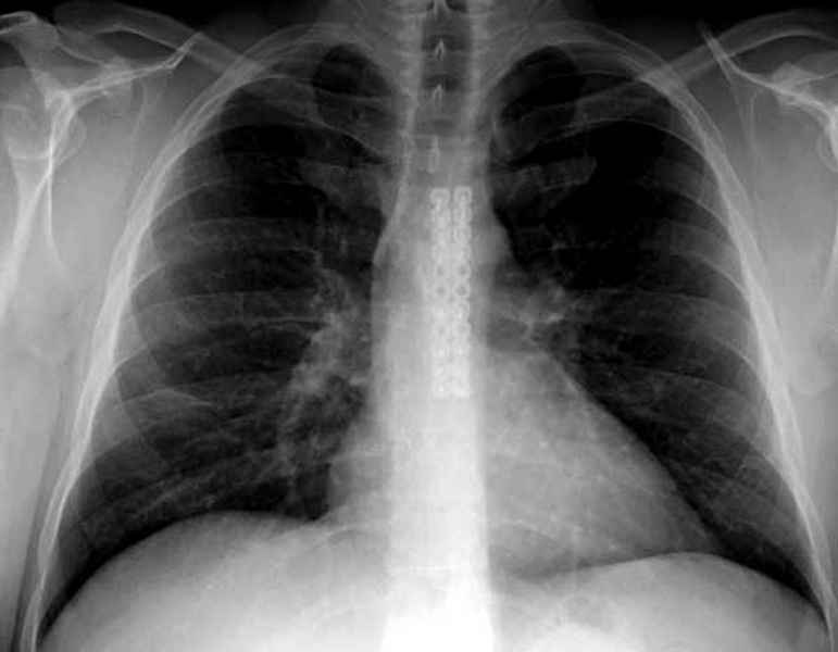
 Если ты ведешь речь о девочке на фотографии, то здесь, мне кажется,
 дело не в репозиции грудины. Вот этот тяж формируется за счет рубца,
 как бы не закончилось келлоидом. Помоему на рентгене грудинно-ключичное
 сочленение с заинтерессованной стороны отличается от здорового - это
 могло быть последствием доступа или интраоперационной травматизации,
 а в таких случаях часто формируется "плохой" рубец из-за
 травмирования грудинной порции. Вот например больная после фиксации
 вывиха грудинного конца ключицы - половина  рубца нормальная, а над
 сочленением безобразный. Это через год после операции - поэтому еще и
 мигрировал книзу.


 "А простые посттравматические ложные суставы грудины приходилось
оперировать с ограничителем сверла и с фиксацией 2.4 мм пластинами с
угловой стабильностью."

    Отличная работа!


    Обнимаю, Булахтин
----------- следущая часть -----------
Вложение не в текстовом формате было извлечено…
Имя     : sternum ap.jpg
Тип     : image/jpeg
Размер  : 32893 байтов
Описание: отсутствует
Url     : http://weborto.net:8080/pipermail/ortho/attachments/20090404/ff1c2d21/attachment-0002.jpg 
----------- следущая часть -----------
Вложение не в текстовом формате было извлечено…
Имя     : Рубец на груди.JPG
Тип     : image/jpeg
Размер  : 31599 байтов
Описание: отсутствует
Url     : http://weborto.net:8080/pipermail/ortho/attachments/20090404/ff1c2d21/attachment-0001.jpeg 
----------- следущая часть -----------
Вложение не в текстовом формате было извлечено…
Имя     : 3 Nonunion sternum ap.jpg
Тип     : image/jpeg
Размер  : 32563 байтов
Описание: отсутствует
Url     : http://weborto.net:8080/pipermail/ortho/attachments/20090404/ff1c2d21/attachment-0003.jpg 


Подробная информация о списке рассылки Ortho