[Ortho] Ложный сустава голени Продолжение.

Korobushkin G gleb на gelios.net
Вс Апр 5 13:29:36 YEKST 2009


 Коллеги!

Позвольте, продолжить обсуждение темы <Больной К 45 лет, ДЗ: ложный сустав левой голени.> http://www.weborto.net/forum/1228422607/index_html

И рассказать о результатах проделанной работы. 

Остановились на следующей тактике

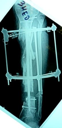
1)      Наложить Аппарат Илизарова. В аппарате восстановить оси трех смещенных относительно друг-друга фрагментов большеберцовой кости. Устранить вальгусную деформацию дистального отдела большеберцовой кости.

Что и было выполнено. 

- Была выполнена репозиция в аппарате (рис1)

2)  После репозиции более очевидна стала проблема дефекта кости в верхней трети голени, два фрагмента свободно лежат. Остановились на варианте перехода на интрамедуллярный синтез стержнем с покрытием костный цемент+ванкомимцин и замещении дефекта с помощью транспорта фрагмента (рис 2)

3) Третьим этапом наложили модуль на промежуточный фрагмент.(рис 3)  И начали его транспорт на стержне в проксимальном направлении. (рис 3 а) 

 

Надеемся что <вырастет> регенерат в дистальном отделе, а в проксимальном отделе фрагмент <упрется> и прирастет.

Хочу сказать слова благодарности за обсуждение на форуме этого случая.

Особые слова благодарности Иванову Павлу Анатольевичу!!! Он помогал Словом, а самое главное делом. Приезжал, оперировал! За что ему нижайший поклон! 



С ув Коробушкин Г
----------- следущая часть -----------
Вложение в формате HTML было извлечено&hellip;
URL: http://weborto.net:8080/pipermail/ortho/attachments/20090405/a3dc024e/attachment-0001.htm 
----------- следущая часть -----------
Вложение не в текстовом формате было извлечено&hellip;
Имя     : Рис 1 После репозиции перед переходом на Штифт (1).JPG
Тип     : image/jpeg
Размер  : 20022 байтов
Описание: отсутствует
Url     : http://weborto.net:8080/pipermail/ortho/attachments/20090405/a3dc024e/attachment-0011.jpeg 
----------- следущая часть -----------
Вложение не в текстовом формате было извлечено&hellip;
Имя     : Рис 1 После репозиции перед переходом на Штифт (2).JPG
Тип     : image/jpeg
Размер  : 17201 байтов
Описание: отсутствует
Url     : http://weborto.net:8080/pipermail/ortho/attachments/20090405/a3dc024e/attachment-0012.jpeg 
----------- следущая часть -----------
Вложение не в текстовом формате было извлечено&hellip;
Имя     : Рис 2 после операции 27.02.09.JPG
Тип     : image/jpeg
Размер  : 14504 байтов
Описание: отсутствует
Url     : http://weborto.net:8080/pipermail/ortho/attachments/20090405/a3dc024e/attachment-0013.jpeg 
----------- следущая часть -----------
Вложение не в текстовом формате было извлечено&hellip;
Имя     : Рис 2 после операции 27.02.09 (1).JPG
Тип     : image/jpeg
Размер  : 14471 байтов
Описание: отсутствует
Url     : http://weborto.net:8080/pipermail/ortho/attachments/20090405/a3dc024e/attachment-0014.jpeg 
----------- следущая часть -----------
Вложение не в текстовом формате было извлечено&hellip;
Имя     : Рис 3 Рентг до Начало транспорта фрагмента 6.03.09.JPG
Тип     : image/jpeg
Размер  : 17610 байтов
Описание: отсутствует
Url     : http://weborto.net:8080/pipermail/ortho/attachments/20090405/a3dc024e/attachment-0015.jpeg 
----------- следущая часть -----------
Вложение не в текстовом формате было извлечено&hellip;
Имя     : Рис 3 Рентг до Начало транспорта фрагмента 6.03.09 (1).JPG
Тип     : image/jpeg
Размер  : 17307 байтов
Описание: отсутствует
Url     : http://weborto.net:8080/pipermail/ortho/attachments/20090405/a3dc024e/attachment-0016.jpeg 
----------- следущая часть -----------
Вложение не в текстовом формате было извлечено&hellip;
Имя     : рис 3 а.JPG
Тип     : image/jpeg
Размер  : 16419 байтов
Описание: отсутствует
Url     : http://weborto.net:8080/pipermail/ortho/attachments/20090405/a3dc024e/attachment-0017.jpeg 
----------- следущая часть -----------
Вложение не в текстовом формате было извлечено&hellip;
Имя     : рис 3 а (1).JPG
Тип     : image/jpeg
Размер  : 16785 байтов
Описание: отсутствует
Url     : http://weborto.net:8080/pipermail/ortho/attachments/20090405/a3dc024e/attachment-0018.jpeg 
----------- следущая часть -----------
Вложение не в текстовом формате было извлечено&hellip;
Имя     : рис 3 а (2).JPG
Тип     : image/jpeg
Размер  : 22490 байтов
Описание: отсутствует
Url     : http://weborto.net:8080/pipermail/ortho/attachments/20090405/a3dc024e/attachment-0019.jpeg 
----------- следущая часть -----------
Вложение не в текстовом формате было извлечено&hellip;
Имя     : рис 3 а (3).JPG
Тип     : image/jpeg
Размер  : 22200 байтов
Описание: отсутствует
Url     : http://weborto.net:8080/pipermail/ortho/attachments/20090405/a3dc024e/attachment-0020.jpeg 
----------- следущая часть -----------
Вложение не в текстовом формате было извлечено&hellip;
Имя     : рис 3 а (5).JPG
Тип     : image/jpeg
Размер  : 22097 байтов
Описание: отсутствует
Url     : http://weborto.net:8080/pipermail/ortho/attachments/20090405/a3dc024e/attachment-0021.jpeg 
----------- следущая часть -----------
Вложение не в текстовом формате было извлечено&hellip;
Имя     : Иванов ПА.jpg
Тип     : image/jpeg
Размер  : 67191 байтов
Описание: отсутствует
Url     : http://weborto.net:8080/pipermail/ortho/attachments/20090405/a3dc024e/attachment-0001.jpg 


Подробная информация о списке рассылки Ortho