[Ortho] Перелом плечевой кости.

Евгений orthoforum на weborto.net
Пн Апр 6 14:20:39 YEKST 2009


Здравствуйте уважаемые коллеги!!!
Недавно стали применять в своей работе малоинвазивные методы лечения.
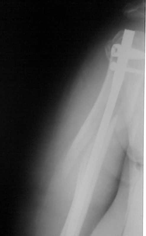
На прошлой неделе прооперировали пожилую женщину с сопутствующим
сахарным диабетом по поводу оскольчатого перелома в/3 плечевой кости
штифтом PHN фирмы "Mathys". Имеется вот такое стояние костных отломков
(см. рентгенограммы).

Мнения коллег в отделении разделились: одни считают, что стояние
отломков крайне неудовлетворительное и сращение кости при таком
стоянии вряд ли возможно, другие считают, что при закрытом методе
остеосинтеза и стабильной фиксации отломков результат будет
благоприятный и сращение кости, даже при таком стоянии костных
отломков, будет обязательно. Я придерживаюсь последнего мнения.

Коллеги, каково ваше мнение? У нас это первые больные после подобных 
операций, поэтому большого опыта не имеем. Поделитесь своим опытом! И
если это возможно, то для убедительности выложите рентгенограммы после
операции и после сращения переломов с подобным стоянием отломков.
Заранее СПАСИБО!!!

Евгений

----------- УМЕДХЭБС ЮБУФШ -----------
Вложение не в текстовом формате было извлечено…
Имя     : 1.jpg
Тип     : image/jpeg
Размер  : 12538 байтов
Описание: отсутствует
Url     : http://weborto.net:8080/pipermail/ortho/attachments/20090406/cc8edbec/attachment.jpg 


Подробная информация о списке рассылки Ortho