[Ortho] Шейка плеча

Евгений orthoforum на weborto.net
Пн Апр 6 23:25:36 YEKST 2009


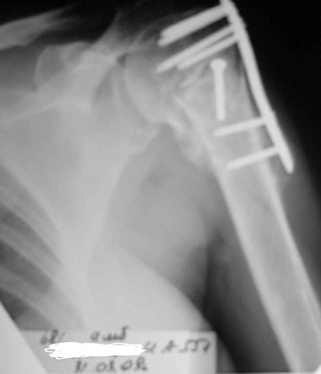
Пациентка Б.1953 г.р., врач-терапевт. Травма 27.11.08г. Падение с
высоты роста. Выявлен закрытый не осложненный оскольчатый перелом
хирургической шейки левого плеча со смещением.
                
02.12.08г. оперирована. Выполнена открытая репозиция и остеосинтез
пластиной LCP Деост с дополнительной фиксацией отдельно лежащего
фрагмента винтом. Послеоперационный период протекал без особенностей,
заживление раны первичным натяжением. Швы сняты через 10 дней.
Иммобилизация левой верхней конечности клиновидной подушкой 4 недели.
По окончании срока - рентген-контроль и умеренная разработка
плечевого сустава. В течении месяца функция левого плечевого сустава
восстановилась удовлетворительно: поднятие руки до 110 гр., отведение
- 90 гр. и до 110 гр. отведение с лопаткой. Отведение руки назад - 20
гр. Наружная и внутренняя ротация - 20 гр. Пациентка по настоянию
самостоятельно вышла на работу. 27.03.09 при контрольном осмотре
жалоб не предъявляет, болевой синдром в левом плечевом суставе
отсутствует. Отведение плеча активно до 90 гр, пассивно с лопаткой до
110 гр., поднятие - 110 гр, отведение назад 20 гр, наружная и
внутренняя ротация по 20 гр. На контрольных рентгенограммах
отмечается смещение металлоконструкции, ротация головки плеча с
приведением дистального отломка на 13 гр. и смещением к зади на 30 гр.

Рентгенограммы прилагаются. Ваш взгляд на дальнейшую тактику лечения
пациентки?         


Евгений
----------- следущая часть -----------
Вложение не в текстовом формате было извлечено…
Имя     : 061.jpg
Тип     : image/jpeg
Размер  : 9702 байтов
Описание: отсутствует
Url     : http://weborto.net:8080/pipermail/ortho/attachments/20090406/9b2c9532/attachment-0003.jpg 
----------- следущая часть -----------
Вложение не в текстовом формате было извлечено…
Имя     : 062.jpg
Тип     : image/jpeg
Размер  : 13178 байтов
Описание: отсутствует
Url     : http://weborto.net:8080/pipermail/ortho/attachments/20090406/9b2c9532/attachment-0004.jpg 
----------- следущая часть -----------
Вложение не в текстовом формате было извлечено…
Имя     : 063.jpg
Тип     : image/jpeg
Размер  : 9315 байтов
Описание: отсутствует
Url     : http://weborto.net:8080/pipermail/ortho/attachments/20090406/9b2c9532/attachment-0005.jpg 


Подробная информация о списке рассылки Ortho