[Ortho] Перелом плечевой кости.

Евгений orthoforum на weborto.net
Пт Апр 10 00:48:35 YEKST 2009


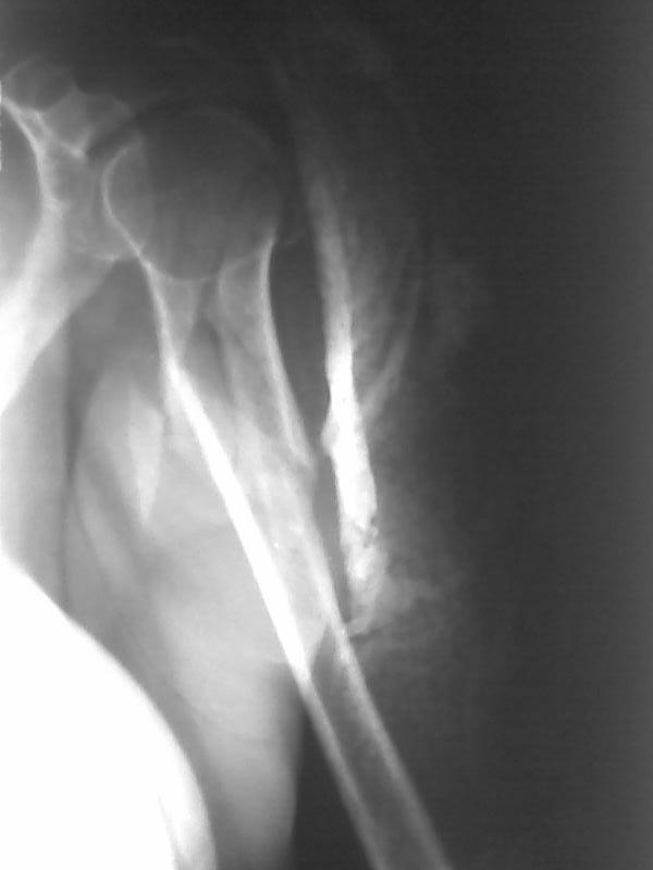
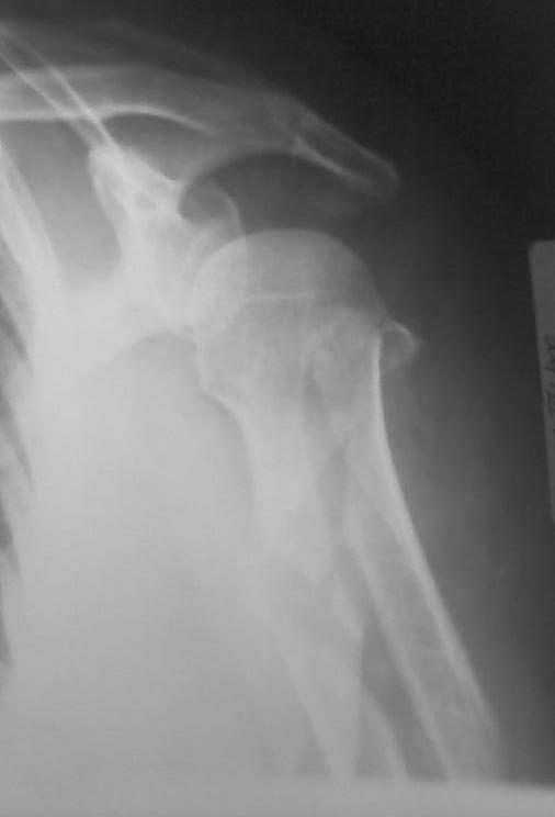
Высылаю рентгенограммы больной до операции и в гипсовой лонгете.
Сейчас больную вообщем-то особо ничего не беспокоит, незначительная
болезненность в области перелома при движениях плечом, первые два дня
была отечность кисти, которая сейчас исчезла, объем движений в
локтевом суставе постепенно увеличивается, отведение плеча пока
небольшое. Дистальное блокирование выполнено одним винтом в
передне-заднем направлении (через бицепс. Да, клинок мы конечно же
заблокировали концевым колпачком. Нас тоже беспокоит возможность
развития импиджмент синдрома, надеемся на то, что больная разработает
движения в плечевом суставе.
Евгений
----------- УМЕДХЭБС ЮБУФШ -----------
Вложение не в текстовом формате было извлечено…
Имя     : Фото005.jpg
Тип     : image/jpeg
Размер  : 16993 байтов
Описание: отсутствует
Url     : http://weborto.net:8080/pipermail/ortho/attachments/20090410/2a54f8d9/attachment-0002.jpg 
----------- УМЕДХЭБС ЮБУФШ -----------
Вложение не в текстовом формате было извлечено…
Имя     : Фото015.jpg
Тип     : image/jpeg
Размер  : 24983 байтов
Описание: отсутствует
Url     : http://weborto.net:8080/pipermail/ortho/attachments/20090410/2a54f8d9/attachment-0003.jpg 


Подробная информация о списке рассылки Ortho