[Ortho] [SPAM]Врожденный ложный сустав голени

Abdurashid orthoforum на weborto.net
Вс Апр 12 00:37:44 YEKST 2009


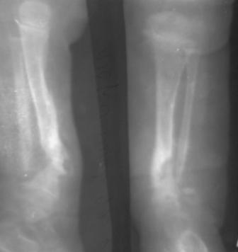
Ребенок август 2007г.р. В марте 2008г оперирован детским ортопедом, приглашенным из центра, клиновидная остеотомия, коррекция деформации, фиксация и/м спицами.
                
Через год рецидив деформации и л/с.
Родители родственники, родился 5 кг, по счету третий, ребенок упитанный (как говорят педиатры - лимфатик), левая нога укорочена на 2,5см. функция коленного и г/с суставов сохранена.
Наш план. 1-этап. аппарат Илизарова, коррекция деформации.
2-этап. Открыто освежение (по возможности до появления росы) и адаптация концов- образуется дефект, кортикотомия проксимального метафиза и удлинение по методу Илизарова, и фиксация на аппарате до консолидации.
Уважаемые коллеги! Уважаемые детские ортопеды! С благодарностью принимаем советы и критику.
С уважением Абдурашид.
----------- УМЕДХЭБС ЮБУФШ -----------
Вложение не в текстовом формате было извлечено…
Имя     : SP_A0319.jpg
Тип     : image/jpeg
Размер  : 6510 байтов
Описание: отсутствует
Url     : http://weborto.net:8080/pipermail/ortho/attachments/20090412/54870230/attachment-0003.jpg 
----------- УМЕДХЭБС ЮБУФШ -----------
Вложение не в текстовом формате было извлечено…
Имя     : SP_A0322.jpg
Тип     : image/jpeg
Размер  : 12436 байтов
Описание: отсутствует
Url     : http://weborto.net:8080/pipermail/ortho/attachments/20090412/54870230/attachment-0004.jpg 
----------- УМЕДХЭБС ЮБУФШ -----------
Вложение не в текстовом формате было извлечено…
Имя     : SP_A0326.jpg
Тип     : image/jpeg
Размер  : 13302 байтов
Описание: отсутствует
Url     : http://weborto.net:8080/pipermail/ortho/attachments/20090412/54870230/attachment-0005.jpg 


Подробная информация о списке рассылки Ortho