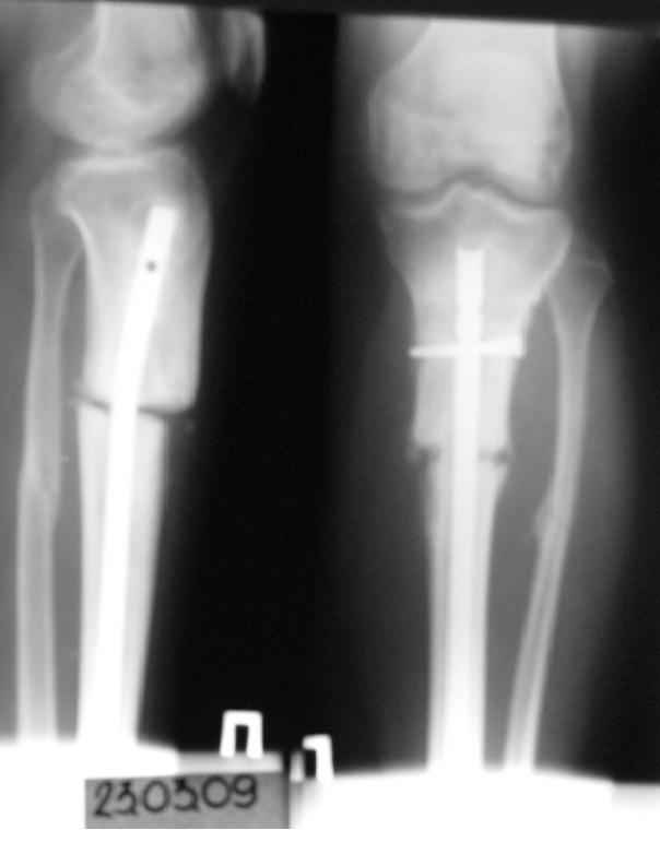
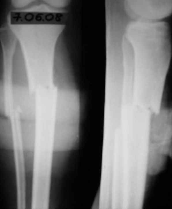
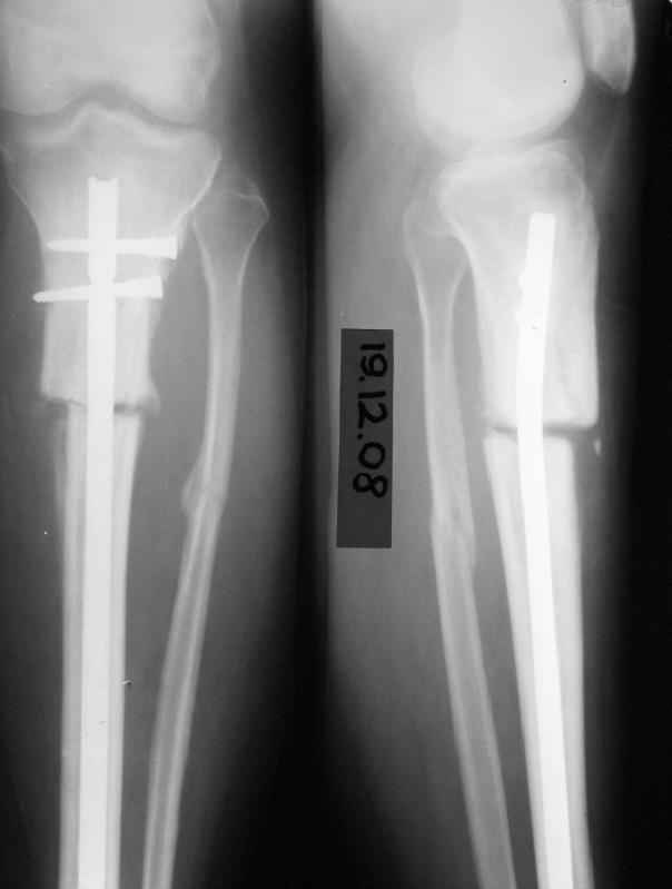
[Ortho] Синтезированный перелом в/3 голени. ложный сустав

Сорокин Игорь orthoforum на weborto.net
Пт Апр 17 23:29:11 YEKST 2009


Буду благодарен за любые комментарии по сложившейся ситуации

История следующая: женщина (медработник)сбита машиной 7.06.08 - о.перелом обоих костей
голени в/3 со смещением. В ПДО ПХО раны,вытяжение за пяточную кость. После заживления раны
20.06.08 выполнен остеосинтез блокирующем стержнем. в течение первого месяца после травмы
сохранялась субфебрильная температура на фоне приема антибиотиков. Затем температура
стабилизировалась.Б-ая как положено ходила в гипсе на костылях. На контрольных
рентгенограммах консолидация не достигалась, иммобилизация продлевалась. Пациентка на
себе опробовала все препараты костной регенерации. В марте удален один из фиксирующих
винтов. На сегодняшний день идет 11 мес. после травмы. Решается вопрос о инвалидности. Буду
благодарен за предложения по дальнейшему ведению больной. Операция?
Сорокин Игорь
----------- УМЕДХЭБС ЮБУФШ -----------
Вложение не в текстовом формате было извлечено…
Имя     : 7.06.08.JPG
Тип     : image/jpeg
Размер  : 11286 байтов
Описание: отсутствует
Url     : http://weborto.net:8080/pipermail/ortho/attachments/20090417/b6bc8f23/attachment-0004.jpeg 
----------- УМЕДХЭБС ЮБУФШ -----------
Вложение не в текстовом формате было извлечено…
Имя     : 19.12.08.JPG
Тип     : image/jpeg
Размер  : 13866 байтов
Описание: отсутствует
Url     : http://weborto.net:8080/pipermail/ortho/attachments/20090417/b6bc8f23/attachment-0005.jpeg 
----------- УМЕДХЭБС ЮБУФШ -----------
Вложение не в текстовом формате было извлечено…
Имя     : 20.06.08.JPG
Тип     : image/jpeg
Размер  : 14888 байтов
Описание: отсутствует
Url     : http://weborto.net:8080/pipermail/ortho/attachments/20090417/b6bc8f23/attachment-0006.jpeg 
----------- УМЕДХЭБС ЮБУФШ -----------
Вложение не в текстовом формате было извлечено…
Имя     : 23.03.09.JPG
Тип     : image/jpeg
Размер  : 13381 байтов
Описание: отсутствует
Url     : http://weborto.net:8080/pipermail/ortho/attachments/20090417/b6bc8f23/attachment-0007.jpeg 


Подробная информация о списке рассылки Ortho