[Ortho] деформация вертлужной впадины

Danil Bliznets orthoforum на weborto.net
Пн Апр 20 19:37:54 YEKST 2009


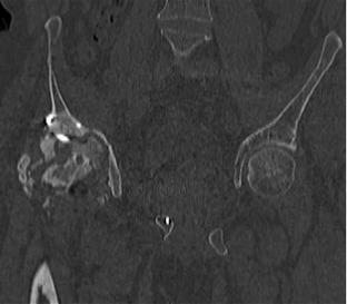
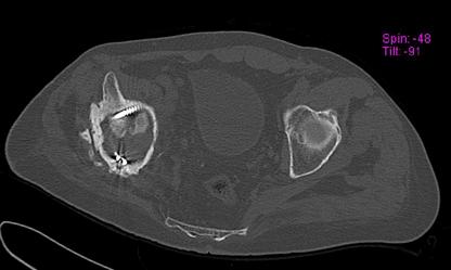
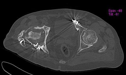
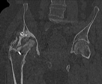
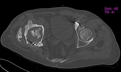
Пациент 49 лет, паровозная травма 23.2.2006, получил вертикальная
нестабильное повреждение таза, разрыв левого крестцово-подвздошного
сочленения, перелом лонной, седалищной костей слева, T-образный
оскольчатый перелом правой вертлужной впадины с переломом заднего
края, вывих правого бедра, посттравматическая пояснично-крестцовая
плексопатия с обеих сторон, паралич мышц правой голени.
                                                                        
В день травмы - вправление вывиха, скелетное вытяжение, 14.3.2006
чрескостный остеосинтез таза. 20.4.2006 остеосинтез правой вертлужной
впадины пластинами, осложнившийся нагноением межмышечной гематомы
правой ягодичной области. Получал консервативное лечение, было
достигнуто полное заживление раны. 24.7.2006 введены илиосакральные
винты слева. С декабря 2006 года и по настоящее время ходит на
костылях без опоры на правую ногу. Планируется THA. Помогите
определиться с вариантом костной пластики? И какую укрепляющую
конструкцию использовать?
----------- УМЕДХЭБС ЮБУФШ -----------
Вложение не в текстовом формате было извлечено…
Имя     : P1010094.JPG
Тип     : image/jpeg
Размер  : 60470 байтов
Описание: отсутствует
Url     : http://weborto.net:8080/pipermail/ortho/attachments/20090420/24e3873b/attachment-0010.jpeg 
----------- УМЕДХЭБС ЮБУФШ -----------
Вложение не в текстовом формате было извлечено…
Имя     : P1010095.JPG
Тип     : image/jpeg
Размер  : 56385 байтов
Описание: отсутствует
Url     : http://weborto.net:8080/pipermail/ortho/attachments/20090420/24e3873b/attachment-0011.jpeg 
----------- УМЕДХЭБС ЮБУФШ -----------
Вложение не в текстовом формате было извлечено…
Имя     : КТ-1.JPG
Тип     : image/jpeg
Размер  : 12342 байтов
Описание: отсутствует
Url     : http://weborto.net:8080/pipermail/ortho/attachments/20090420/24e3873b/attachment-0012.jpeg 
----------- УМЕДХЭБС ЮБУФШ -----------
Вложение не в текстовом формате было извлечено…
Имя     : КТ-2.JPG
Тип     : image/jpeg
Размер  : 12537 байтов
Описание: отсутствует
Url     : http://weborto.net:8080/pipermail/ortho/attachments/20090420/24e3873b/attachment-0013.jpeg 
----------- УМЕДХЭБС ЮБУФШ -----------
Вложение не в текстовом формате было извлечено…
Имя     : КТ-3.JPG
Тип     : image/jpeg
Размер  : 10581 байтов
Описание: отсутствует
Url     : http://weborto.net:8080/pipermail/ortho/attachments/20090420/24e3873b/attachment-0014.jpeg 
----------- УМЕДХЭБС ЮБУФШ -----------
Вложение не в текстовом формате было извлечено…
Имя     : КТ-4.JPG
Тип     : image/jpeg
Размер  : 11557 байтов
Описание: отсутствует
Url     : http://weborto.net:8080/pipermail/ortho/attachments/20090420/24e3873b/attachment-0015.jpeg 
----------- УМЕДХЭБС ЮБУФШ -----------
Вложение не в текстовом формате было извлечено…
Имя     : КТ-5.JPG
Тип     : image/jpeg
Размер  : 13282 байтов
Описание: отсутствует
Url     : http://weborto.net:8080/pipermail/ortho/attachments/20090420/24e3873b/attachment-0016.jpeg 
----------- УМЕДХЭБС ЮБУФШ -----------
Вложение не в текстовом формате было извлечено…
Имя     : КТ-7.JPG
Тип     : image/jpeg
Размер  : 13729 байтов
Описание: отсутствует
Url     : http://weborto.net:8080/pipermail/ortho/attachments/20090420/24e3873b/attachment-0017.jpeg 
----------- УМЕДХЭБС ЮБУФШ -----------
Вложение не в текстовом формате было извлечено…
Имя     : КТ-8.JPG
Тип     : image/jpeg
Размер  : 14532 байтов
Описание: отсутствует
Url     : http://weborto.net:8080/pipermail/ortho/attachments/20090420/24e3873b/attachment-0018.jpeg 
----------- УМЕДХЭБС ЮБУФШ -----------
Вложение не в текстовом формате было извлечено…
Имя     : КТ-9.JPG
Тип     : image/jpeg
Размер  : 14053 байтов
Описание: отсутствует
Url     : http://weborto.net:8080/pipermail/ortho/attachments/20090420/24e3873b/attachment-0019.jpeg 


Подробная информация о списке рассылки Ortho