[Ortho] протрузионный коксартроз

Анатолий orthoforum на weborto.net
Сб Апр 25 14:14:32 YEKST 2009


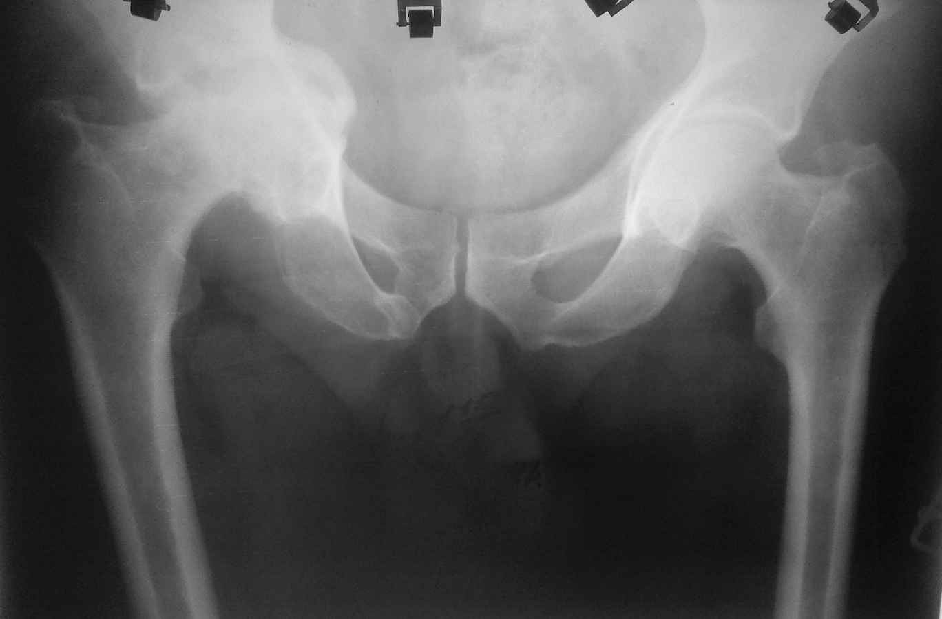
Здравствуйте. Уважаемые коллеги, поделитесь опытом у кого какая тактика при протрузионных
коксартрозах. У нас в клинике принято выполнять костную пластику дна стружкой из гололки, а
потом цементную чашку (снимки прилагаю). Выскажите свои взгляды на эту проблему,
пожалуйста.
Анатолий
----------- УМЕДХЭБС ЮБУФШ -----------
Вложение не в текстовом формате было извлечено…
Имя     : 24042009(001).jpg
Тип     : image/jpeg
Размер  : 24199 байтов
Описание: отсутствует
Url     : http://weborto.net:8080/pipermail/ortho/attachments/20090425/9e5871fd/attachment-0002.jpg 
----------- УМЕДХЭБС ЮБУФШ -----------
Вложение не в текстовом формате было извлечено…
Имя     : 24042009.jpg
Тип     : image/jpeg
Размер  : 18217 байтов
Описание: отсутствует
Url     : http://weborto.net:8080/pipermail/ortho/attachments/20090425/9e5871fd/attachment-0003.jpg 


Подробная информация о списке рассылки Ortho