[Ortho] Гетеротопический оссификат в локтевом суставе

Быстров Сергей orthoforum на weborto.net
Пн Апр 27 23:26:51 YEKST 2009


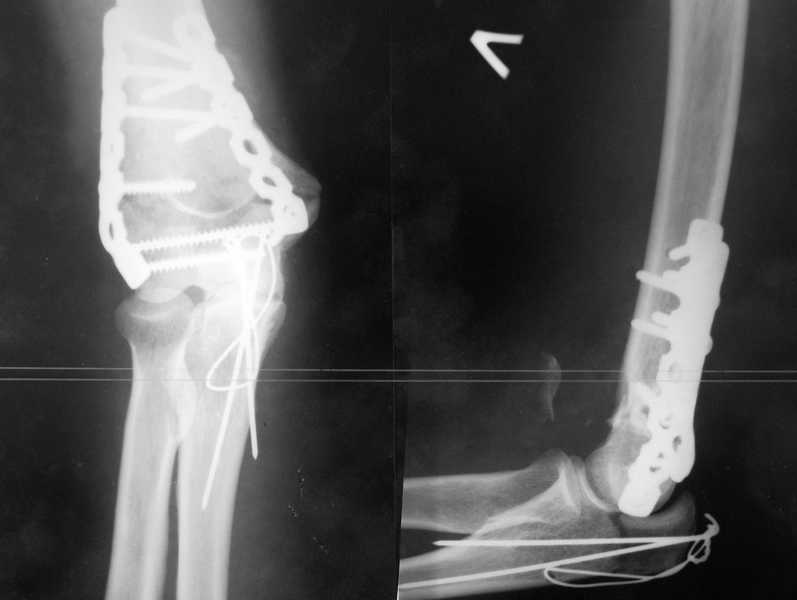
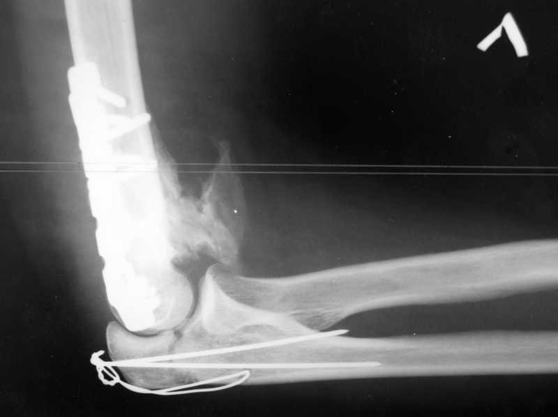
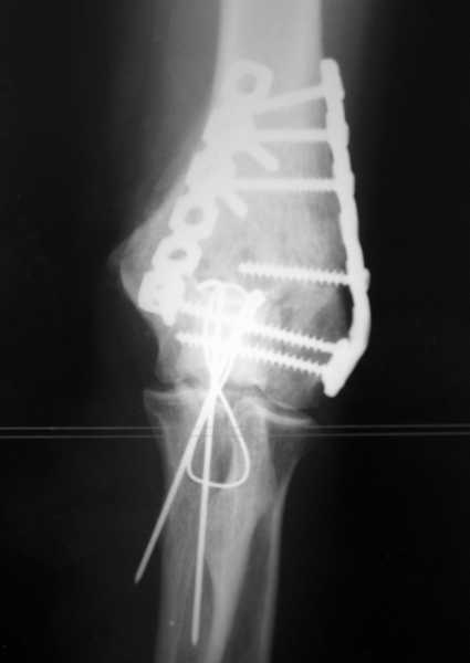
У пациентки 42 лет после операции остеосинтеза чрезмыщелкового перелома плеча, выполненной в нашей клинике 2 месяца назад, на контрольных R-граммах имеется гетеротопический оссификат по передней поверхности плеча.
                
Оперирована по методике АО, после операции максимально рано начала заниматся ЛФК. В настоящее время основная жалоба пациентки на ограничение сгибания в локтевом суставе. Клинически объем движений: сгибание 90 градусов, разгибание 170 градусов, ротационные движения в полном объеме. Привожу снимки сразу после операции и через 2 месяца. (На рентгенограммах после операции в мягких тканях по передней поверхности плеча имеется небольшой костный фрагмент, но его ширина во фронтальной плоскости не более 1 мм., обнаружен был по снимкам после операции. Интраоперационно основные крупные фрагменты отрепонировались хорошо, объем движений был сгибание до 75 градусов, разгибание 175 град.) Пациентка неудовлетворена объемом сгибания, хотя была предупреждена о высокой вероятности ограничения движений. Профилактика гетеротопической оссификации (прием индометацина) не проводилась, т.к. имелась язвенная болезнь, да и эффект от его приема считаю сомнительным.
Вопросы: 1.Стоит ли вмешиваться и пытаться удалить экзостоз? Если да,то в какие сроки и каким доступом лучше идти?
2. Оставить все как есть?
3. Не поможет ли ударно-волновая терапия либо какая-то другая методика?
Буду благодарен за все ответы и оценки своей работы. С таким осложнением столкнулся впервые.

Быстров Сергей
----------- УМЕДХЭБС ЮБУФШ -----------
Вложение не в текстовом формате было извлечено…
Имя     : 1.jpg
Тип     : image/jpeg
Размер  : 26090 байтов
Описание: отсутствует
Url     : http://weborto.net:8080/pipermail/ortho/attachments/20090427/f2864aa3/attachment-0003.jpg 
----------- УМЕДХЭБС ЮБУФШ -----------
Вложение не в текстовом формате было извлечено…
Имя     : 2.jpg
Тип     : image/jpeg
Размер  : 22928 байтов
Описание: отсутствует
Url     : http://weborto.net:8080/pipermail/ortho/attachments/20090427/f2864aa3/attachment-0004.jpg 
----------- УМЕДХЭБС ЮБУФШ -----------
Вложение не в текстовом формате было извлечено…
Имя     : 3.jpg
Тип     : image/jpeg
Размер  : 14669 байтов
Описание: отсутствует
Url     : http://weborto.net:8080/pipermail/ortho/attachments/20090427/f2864aa3/attachment-0005.jpg 


Подробная информация о списке рассылки Ortho