[Ortho] Ложный сустав в/3 плечевой кости!

Евгений orthoforum на weborto.net
Вт Апр 28 18:08:06 YEKST 2009


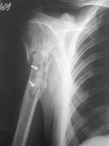
Здравствуйте, коллеги!!! К нам в отделение госпитализирован пациент 39 лет с
клинико-рентгенологической картиной ложного сустава в/3 плечевой кости! Снимки
прилагаются! Предистория такова: около года назад получил оскольчатый перелом в/3
плечевой кости. В одной из московских больниц выполнен остеосинтез пластиной, через
несколько месяцев выполнен реостеосинтез, опять же пластной...., причины реостеосинтеза
со слов пациента таковы - "доктору не понравилась как лежит пластина и он ее переложил..." -
два месяца назад выполнено удаление фиксатора. Никаких выписок у больного нет. Около недели
назад больной ударился областью плечевого сустава, появились боли, в связи с чем он
обратился в травмопункт, откуда направлен к нам. Клинически у пациента имеется подвижность
в области в\3 плеча, костная крепитация, умеренная болезненность в в/3 плеча при движениях,
атрофия дельтовидной мышцы. На следующей недели планируем пациента опериравать. Коллеги,
у нас возникло несколько вопросов, если не затруднит, то посоветуйте и подскажите... Мы
планируем выполнить закрытый блокируемый остеосинтез, скажите пожалуйста, нужно ли в этом
случае, на ваш взгляд, выполнять костную пластику или достаточно выполнить рассверливание
костномозгового канала и заштифтовать толстым гвоздем, нужно ли пытаться удалить винты???
У нас в отделении идут дискуссии по этому поводу, придти к общему знаменателю не можем,
поэтому и обращаемся к Вам!!! На основании ваших отзывов мы и примем окончательное
решение!!! Спасибо!!! Очень ждем Ваших комментариев!!!
Евгений
----------- УМЕДХЭБС ЮБУФШ -----------
Вложение не в текстовом формате было извлечено…
Имя     : 1.jpg
Тип     : image/jpeg
Размер  : 15467 байтов
Описание: отсутствует
Url     : http://weborto.net:8080/pipermail/ortho/attachments/20090428/a6f24986/attachment-0003.jpg 
----------- УМЕДХЭБС ЮБУФШ -----------
Вложение не в текстовом формате было извлечено…
Имя     : 2.jpg
Тип     : image/jpeg
Размер  : 8958 байтов
Описание: отсутствует
Url     : http://weborto.net:8080/pipermail/ortho/attachments/20090428/a6f24986/attachment-0004.jpg 
----------- УМЕДХЭБС ЮБУФШ -----------
Вложение не в текстовом формате было извлечено…
Имя     : 3.jpg
Тип     : image/jpeg
Размер  : 7510 байтов
Описание: отсутствует
Url     : http://weborto.net:8080/pipermail/ortho/attachments/20090428/a6f24986/attachment-0005.jpg 


Подробная информация о списке рассылки Ortho