[Ortho] Чрезвертельный перелом бедра

Гладков Алексей orthoforum на weborto.net
Пн Авг 10 15:30:00 YEKST 2009


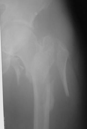
По нашему мнению линия перелома проходит вверху через латеральный отдел шейки бедра, вертельная область состоит из нескольких фрагментов. В таких условиях применить DHS или дистальную бедренную пластину LCP представляется нам сомнительным. Закрытый остеосинтез проксимальным гамма-гвоздем или PFNa невозможен т.к. нет ЭОПа.
Возможно открытый остеосинтез гвоздем PFNa?
Прилагаю Р-ы на вытяжении.
Гладков Алексей

----------- УМЕДХЭБС ЮБУФШ -----------
Вложение не в текстовом формате было извлечено…
Имя     : IMAG0192.jpg
Тип     : image/jpeg
Размер  : 12283 байтов
Описание: отсутствует
Url     : http://weborto.net:8080/pipermail/ortho/attachments/20090810/135da1e6/attachment.jpg 


Подробная информация о списке рассылки Ortho