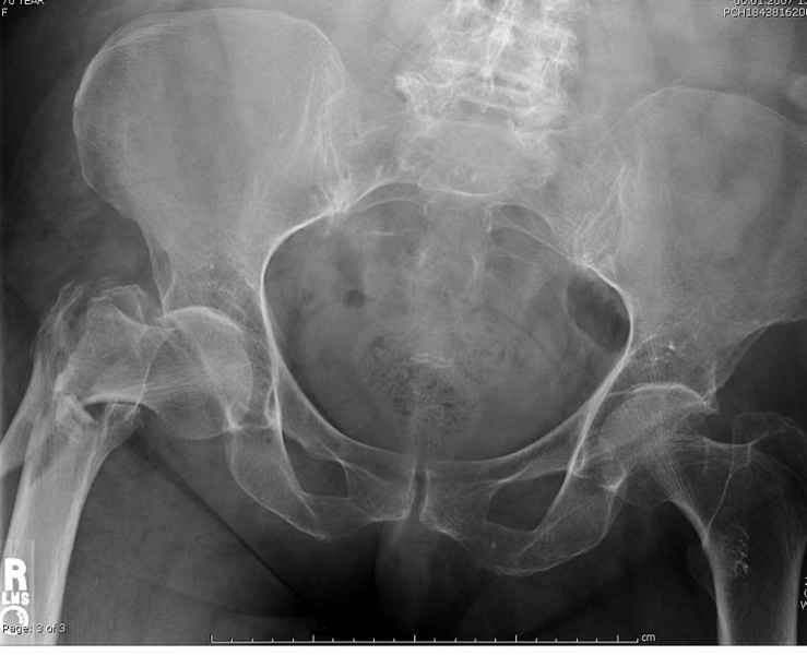
[Ortho] Чрезвертельный перелом бедра

Djoldas Kuldjanov orthoforum на weborto.net
Ср Авг 26 00:13:05 YEKST 2009


Здесь 83 года, травма в результате падения

 
Djoldas Kuldjanov, M.D.
Department of Orthopedic Surgery
St. Louis University
----------- УМЕДХЭБС ЮБУФШ -----------
Вложение не в текстовом формате было извлечено…
Имя     : #3 IT fx  injury.jpg
Тип     : image/jpeg
Размер  : 32334 байтов
Описание: отсутствует
Url     : http://weborto.net:8080/pipermail/ortho/attachments/20090826/208099a1/attachment-0007.jpg 
----------- УМЕДХЭБС ЮБУФШ -----------
Вложение не в текстовом формате было извлечено…
Имя     : #5 IT fx  2introp.jpg
Тип     : image/jpeg
Размер  : 19563 байтов
Описание: отсутствует
Url     : http://weborto.net:8080/pipermail/ortho/attachments/20090826/208099a1/attachment-0008.jpg 
----------- УМЕДХЭБС ЮБУФШ -----------
Вложение не в текстовом формате было извлечено…
Имя     : #6 IT fx  introp.jpg
Тип     : image/jpeg
Размер  : 22864 байтов
Описание: отсутствует
Url     : http://weborto.net:8080/pipermail/ortho/attachments/20090826/208099a1/attachment-0009.jpg 
----------- УМЕДХЭБС ЮБУФШ -----------
Вложение не в текстовом формате было извлечено…
Имя     : #7 IT fx introp.jpg
Тип     : image/jpeg
Размер  : 19188 байтов
Описание: отсутствует
Url     : http://weborto.net:8080/pipermail/ortho/attachments/20090826/208099a1/attachment-0010.jpg 
----------- УМЕДХЭБС ЮБУФШ -----------
Вложение не в текстовом формате было извлечено…
Имя     : #8 IT fx  introp.jpg
Тип     : image/jpeg
Размер  : 20303 байтов
Описание: отсутствует
Url     : http://weborto.net:8080/pipermail/ortho/attachments/20090826/208099a1/attachment-0011.jpg 
----------- УМЕДХЭБС ЮБУФШ -----------
Вложение не в текстовом формате было извлечено…
Имя     : Hip final.jpg
Тип     : image/jpeg
Размер  : 29097 байтов
Описание: отсутствует
Url     : http://weborto.net:8080/pipermail/ortho/attachments/20090826/208099a1/attachment-0012.jpg 
----------- УМЕДХЭБС ЮБУФШ -----------
Вложение не в текстовом формате было извлечено…
Имя     : hip lat final.jpg
Тип     : image/jpeg
Размер  : 30881 байтов
Описание: отсутствует
Url     : http://weborto.net:8080/pipermail/ortho/attachments/20090826/208099a1/attachment-0013.jpg 


Подробная информация о списке рассылки Ortho