[Ortho] огнестрельный перелом голени

Djoldas Kuldjanov orthoforum на weborto.net
Пн Авг 31 01:32:48 YEKST 2009


Уважаемые коллеги,

Современная тактика лечения огнестрельных переломов вызывает споры.


Опыты многих стран доказывает, что открытые переломы можно успешно лечить с применением внутренних металлических конструкций, включая гвозди.

В западных странах более 25 лет эту методику применяют для лечения огнестрельных переломов. После применения адекватных методов по предупреждению осложнений, например, после промывания ран, огнестрельные  переломы  можно стабилизировать без боязни инфицирования.

Здесь представлен больной 27 лет с ранениями, включая огнестрельный перелом большеберцовой кости.

Стандартный аьгоритм:

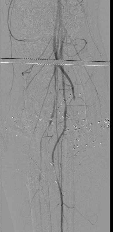
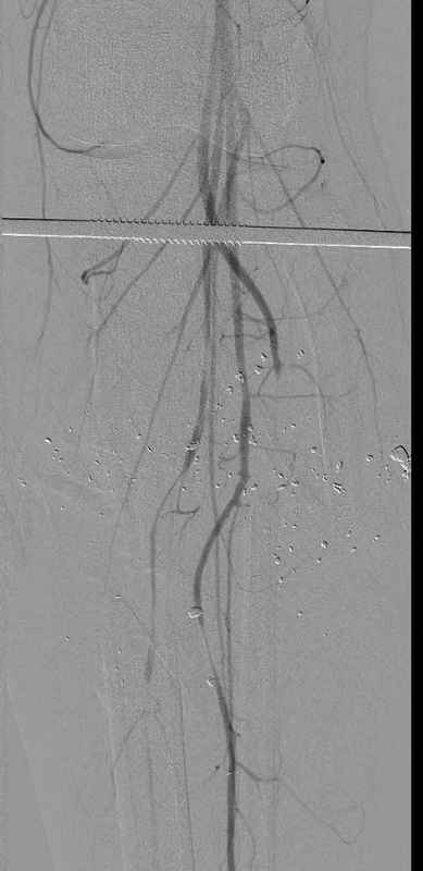
11.08.09 доставлен в операционную, Irrigation&Debridment c фиксацией Наружным Фиксатором и вакуумирование VAC; службой травмы пройзведена ангиография с негативным результатом. (снимки 1-10)
 
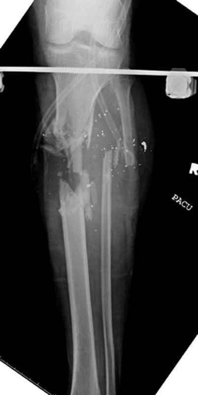
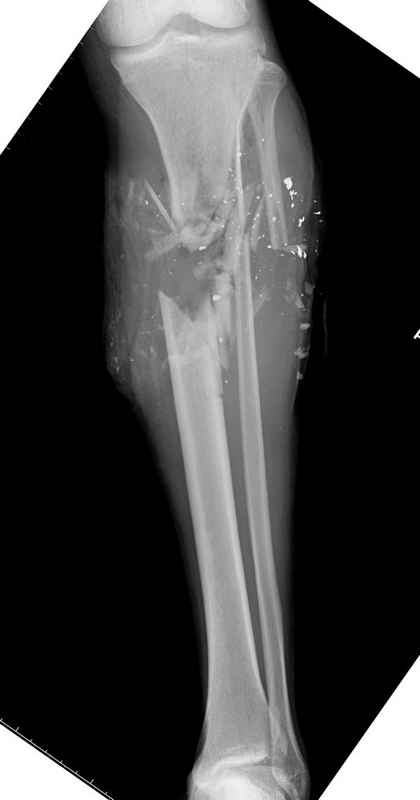
14.08.09 повторная Irrigation&Debridment (чувстительственность из раны негативная) со сменой фиксации на медуллярный гвоздь и вакуумирование VAC
 

18.08 и 21.08.09 Irrigation&Debridment с сменой е VAC, после  высеялся MRSA in thio т.е. на специальных срезах небольшое количество (11-13)
 

25.08.09 повторная Irrigation&Debridment. Пластик хирург не стал рисковать с Soleus flap из-за отечности, и применен Gastric flap, кожная пластика на медиальную и латеральную рану; аллографт из костных стружек с BMP. Поверхность вакуумирована VAC системой на 4 дня (14-16)

 
Финальные снимки сделаем на днях.
 

Djoldas Kuldjanov, MD
Department of Orthopedic Surgery
St. Louis University Medical Center
----------- УМЕДХЭБС ЮБУФШ -----------
Вложение не в текстовом формате было извлечено…
Имя     : 1 gsw tibia ap injury.jpg
Тип     : image/jpeg
Размер  : 22649 байтов
Описание: отсутствует
Url     : http://weborto.net:8080/pipermail/ortho/attachments/20090831/f744a2dd/attachment-0014.jpg 
----------- УМЕДХЭБС ЮБУФШ -----------
Вложение не в текстовом формате было извлечено…
Имя     : 2 gsw tibia lat injury.jpg
Тип     : image/jpeg
Размер  : 19949 байтов
Описание: отсутствует
Url     : http://weborto.net:8080/pipermail/ortho/attachments/20090831/f744a2dd/attachment-0015.jpg 
----------- УМЕДХЭБС ЮБУФШ -----------
Вложение не в текстовом формате было извлечено…
Имя     : 3 gsw medial wound.jpg
Тип     : image/jpeg
Размер  : 38281 байтов
Описание: отсутствует
Url     : http://weborto.net:8080/pipermail/ortho/attachments/20090831/f744a2dd/attachment-0016.jpg 
----------- УМЕДХЭБС ЮБУФШ -----------
Вложение не в текстовом формате было извлечено…
Имя     : 4 med wound.JPG
Тип     : image/jpeg
Размер  : 110445 байтов
Описание: отсутствует
Url     : http://weborto.net:8080/pipermail/ortho/attachments/20090831/f744a2dd/attachment-0001.jpeg 
----------- УМЕДХЭБС ЮБУФШ -----------
Вложение не в текстовом формате было извлечено…
Имя     : 5 gsw lateral wound.jpg
Тип     : image/jpeg
Размер  : 37149 байтов
Описание: отсутствует
Url     : http://weborto.net:8080/pipermail/ortho/attachments/20090831/f744a2dd/attachment-0017.jpg 
----------- УМЕДХЭБС ЮБУФШ -----------
Вложение не в текстовом формате было извлечено…
Имя     : 6 gsw tibia  exfix.jpg
Тип     : image/jpeg
Размер  : 22690 байтов
Описание: отсутствует
Url     : http://weborto.net:8080/pipermail/ortho/attachments/20090831/f744a2dd/attachment-0018.jpg 
----------- УМЕДХЭБС ЮБУФШ -----------
Вложение не в текстовом формате было извлечено…
Имя     : 7 gsw tibia abgiography.jpg
Тип     : image/jpeg
Размер  : 26344 байтов
Описание: отсутствует
Url     : http://weborto.net:8080/pipermail/ortho/attachments/20090831/f744a2dd/attachment-0019.jpg 
----------- УМЕДХЭБС ЮБУФШ -----------
Вложение не в текстовом формате было извлечено…
Имя     : 8 gsw tibia abgiography_1.jpg
Тип     : image/jpeg
Размер  : 26344 байтов
Описание: отсутствует
Url     : http://weborto.net:8080/pipermail/ortho/attachments/20090831/f744a2dd/attachment-0020.jpg 
----------- УМЕДХЭБС ЮБУФШ -----------
Вложение не в текстовом формате было извлечено…
Имя     : 9 gws medial wound.jpg
Тип     : image/jpeg
Размер  : 45449 байтов
Описание: отсутствует
Url     : http://weborto.net:8080/pipermail/ortho/attachments/20090831/f744a2dd/attachment-0021.jpg 
----------- УМЕДХЭБС ЮБУФШ -----------
Вложение не в текстовом формате было извлечено…
Имя     : 10 gsw post irrigation lat wound.jpg
Тип     : image/jpeg
Размер  : 45095 байтов
Описание: отсутствует
Url     : http://weborto.net:8080/pipermail/ortho/attachments/20090831/f744a2dd/attachment-0022.jpg 
----------- УМЕДХЭБС ЮБУФШ -----------
Вложение не в текстовом формате было извлечено…
Имя     : 11 gsw tibila post IM nail.jpg
Тип     : image/jpeg
Размер  : 24313 байтов
Описание: отсутствует
Url     : http://weborto.net:8080/pipermail/ortho/attachments/20090831/f744a2dd/attachment-0023.jpg 
----------- УМЕДХЭБС ЮБУФШ -----------
Вложение не в текстовом формате было извлечено…
Имя     : 13  gsw medial post IM pre softtissue plasty.jpg
Тип     : image/jpeg
Размер  : 39057 байтов
Описание: отсутствует
Url     : http://weborto.net:8080/pipermail/ortho/attachments/20090831/f744a2dd/attachment-0024.jpg 
----------- УМЕДХЭБС ЮБУФШ -----------
Вложение не в текстовом формате было извлечено…
Имя     : 14 gsw soft tissue gastroc transfer_1.jpg
Тип     : image/jpeg
Размер  : 49084 байтов
Описание: отсутствует
Url     : http://weborto.net:8080/pipermail/ortho/attachments/20090831/f744a2dd/attachment-0025.jpg 
----------- УМЕДХЭБС ЮБУФШ -----------
Вложение не в текстовом формате было извлечено…
Имя     : 15 gsw gastroc transfer.jpg
Тип     : image/jpeg
Размер  : 52951 байтов
Описание: отсутствует
Url     : http://weborto.net:8080/pipermail/ortho/attachments/20090831/f744a2dd/attachment-0026.jpg 
----------- УМЕДХЭБС ЮБУФШ -----------
Вложение не в текстовом формате было извлечено…
Имя     : 16  gsw gastroc skin graft.jpg
Тип     : image/jpeg
Размер  : 47432 байтов
Описание: отсутствует
Url     : http://weborto.net:8080/pipermail/ortho/attachments/20090831/f744a2dd/attachment-0027.jpg 


Подробная информация о списке рассылки Ortho