[Ortho] заболевание стопы

Алексей orthoforum на weborto.net
Вт Дек 1 16:32:17 YEKT 2009


Помогите с выбором тактики лечения

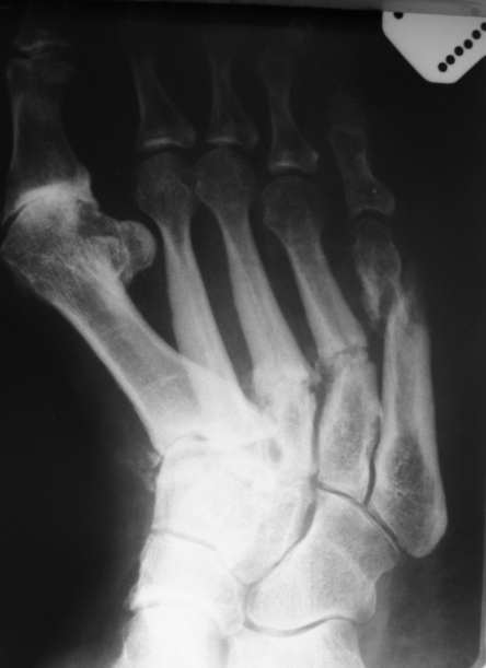
Уважаемые коллеги. Помогите определиться с дальнейшим лечением данного клинического
случая (Ро - граммы прилагаю ). Жалобы: На постоянные боли в области обеих стоп,
преимущественно справа в покое и при осевой нагрузке. Невозможность ходить на длительне
дистанции. Из анамнеза: Со слов больной травмы отрицает. Считает себя больной последние 5
лет, когда в первые появились боли в стопах и правом тазобедренном суставе. Обращалась в РТП
по месту жительства, выполнялись Ро - граммы ( на руках ), без патологии. болевой синдром
постепенно наростал. Пациентка лечилась консервативно по месту жительства с переменным
успехом. Выполнялись этапные Ро - контроли ( к сожалению Ро - утерян в РТП ). Со слов пациентки
Ро - картина ухудшалась. Данное ухудшение с февраля 2009 года. больная стала отмечать
отрицательную динамику, появилось искривление области плюсны по тыльной поверхности
стопы, крепитация отломков, усиление болевого синдрома, отёк в области правой стопы,
формирование экзостоза головки 1 плюсневой кости, уплощения продольного свода стопы,
невозможность носить ежедневной обуви ( в плоть до домашних тапочек ). и вот она измученная
лечением обратилась к нам...Трудовой анамнез не отягощён. Работает поваром в столовой.
Местно: У больной имеется отёк мягких тканей тыла стопы. при осмотре продольный и поперечный
своды стопы уплощены. имеется вальгусная деформация 1 го пальца правой стопы. Экзостоз
головки 1 плюсневой кости. Кожа над поверхностью не изменена. признаков гипертермии и
гиперемии нет. При пальпации отмечается болезненность в проекции диафизов 2-4плюсневых
костей по тыльной поверхности. Так же отмечается крепитация отломнов в проекции 5 плюсневой
кости. Признаков сосудистых и неврологических расстройств нет. При стоянии на обеих ногах,
отмечается болезненность в проекции 5 плюсневой кости правой стопы. У нас возник извечный
вопрос...Что делать?
Алексей

----------- УМЕДХЭБС ЮБУФШ -----------
Вложение не в текстовом формате было извлечено…
Имя     : IMG_5254.JPG
Тип     : image/jpeg
Размер  : 20251 байтов
Описание: отсутствует
Url     : http://weborto.net:8080/pipermail/ortho/attachments/20091201/2af8646b/attachment-0001.jpeg 


Подробная информация о списке рассылки Ortho