[Ortho]

Ruslan orthoforum weborto.net
1 16:33:29 YEKT 2009


Уважаемые коллеги,

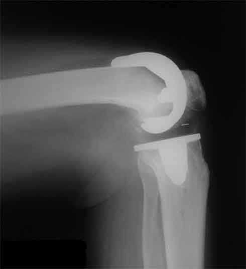
Оперирована пациентка 42 лет, избыточного веса. Выполнено б/ц протезированние коленного
сустава эндопротезом LCS. Послеоперационный период гладкий, в срок 2 мес. после операции
объем движений удовлетворительный, сгибание до острого угла, разгибание полное. В 3,5 мес.
во время падения подвернула ногу, после чего появилась. клиника медиолатеральной
нестабильности. В течении 3 недель фиксация в туторе. При повторном осмотре жалобы на
дискомфорт в коленном суставе, ╚ щелканье ╩ , неустойчивость в суставе. Вопросы/варианты
дальнейшей тактики лечения пациентки. 1) Существует ли способы восстановления внутренней
боковой связки на фоне протезированного коленного сустава и как добиться равномерного ее
натяжения при всех углах сгибания. 2) Ревизия с установкой более связанного протеза
(constrained) 3) Оставить как есть, ждать износа вкладыша, развития нестабильности
протеза, а затем идти на связанный протез. 4) Другие варианты.
Ruslan

-----------   -----------
Вложение не в текстовом формате было извлечено…
Имя     : IMG_5646.jpg
Тип     : image/jpeg
Размер  : 5445 байтов
Описание: отсутствует
Url     : http://weborto.net:8080/pipermail/ortho/attachments/20091201/146649d6/attachment.jpg 


Ortho