[Ortho] заболевание стопы

Алексей orthoforum на weborto.net
Сб Дек 5 11:27:07 YEKT 2009


Спасибо всем, за предоставленные предположения... но причина нам пока действительно не ясна.
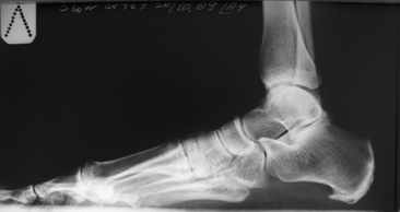
Как правильно заметил Михаил Васильев, нехватает некоторых мелочей. Пациентка В., возраст 45 лет. Вес 64,5 кг. Рост 168 см.
Мы так же как и доктор Кулешов установили диагноз стресс перелома или болезнь Дойчлендера. Пациента сейчас находится в гипсовой иммобилизации сроком уже 3 недели. До обращения к нам, пациентка лечилась по месту жительства без какой либо фиксации, нагружая ногу полностью.
Спасибо за предложения доктора Либерзона. дефицит витамина В 12 мы обязательно проверим, в остальном больная обследована на наличие всех инфекций.. - Отрицательно. Лечилась у невролога по месту жительства по поводу предполагаемого остеохондроза позвоночника ( ДО ВЫПОЛНЕНИЯ Ро грамм ),мы считаем, что снижение силы и рефлексов в нижних конечностях врядли пропустили. Сахарного диабета и заболеваний щитовидной железы нет. Уровень гормонов щитовидной железы в норме.
Что касается не значительных травм... вряд ли такие повреждения стопы можно не заметить....
Что касается дальнейшей тактики лечения... У пациентки только один негативный элемент - это болевой синдром, при нагрузки на конечность.Буквально пройти 200 - 250 метров это огромная проблема...
Жду ваших предложений потому как сами просто сломали голову.
Высылаю ещё Ро - граммы. Мне кажется должно получиться.
Алексей
----------- УМЕДХЭБС ЮБУФШ -----------
Вложение не в текстовом формате было извлечено…
Имя     : IMG_5249.JPG
Тип     : image/jpeg
Размер  : 12856 байтов
Описание: отсутствует
Url     : http://weborto.net:8080/pipermail/ortho/attachments/20091205/fd5af2e1/attachment-0001.jpeg 
----------- УМЕДХЭБС ЮБУФШ -----------
Вложение не в текстовом формате было извлечено…
Имя     : IMG_5253.JPG 1.jpg
Тип     : image/jpeg
Размер  : 12323 байтов
Описание: отсутствует
Url     : http://weborto.net:8080/pipermail/ortho/attachments/20091205/fd5af2e1/attachment-0001.jpg 


Подробная информация о списке рассылки Ortho