[Ortho] Перелом бедренной кости

Николов Олег orthoforum на weborto.net
Ср Дек 9 23:48:18 YEKT 2009


Уважаемые коллеги, возникли вопросы по тактике лечения перелома бедренной кости.

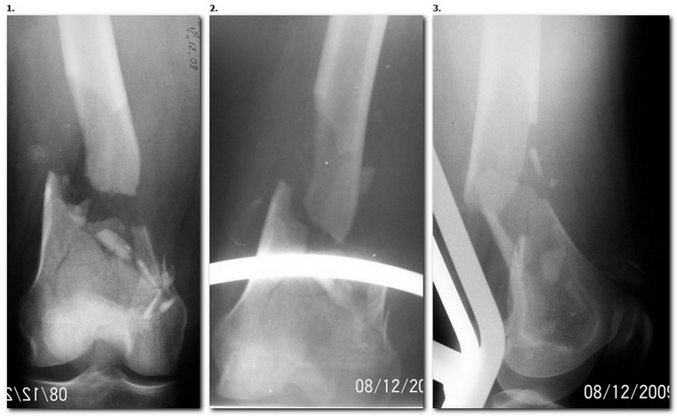
Пациентка через 3-е суток после автодорожной травмы - пассажир автомобиля. Имеется
открытый оскольчатый перелом н/3 правой бедренной кости. Создается впечатление о дефиците
костной ткани, рана до 5 см над надколенником, похоже фрагмент бедренной кости был
безвозвратно потерян при травме. Планируется ретроградный БИОС. Возникает вопрос об
обьеме и варианте костной пластики. Сопутствующий перелом в/3 обеих костей левой голени
сомнений по тактике не вызывает. Уважаемые коллеги, хотелось бы услышать ваши мнения по
данной ситуации. С уважением Николов О.В.
Николов Олег
----------- УМЕДХЭБС ЮБУФШ -----------
Вложение не в текстовом формате было извлечено…
Имя     : 0921.jpg
Тип     : image/jpeg
Размер  : 55738 байтов
Описание: отсутствует
Url     : http://weborto.net:8080/pipermail/ortho/attachments/20091209/cdbbf6cb/attachment-0001.jpg 


Подробная информация о списке рассылки Ortho