[Ortho] Нестабильность эндопротеза коленного сустава

Найданов Вадим Федорович orthoforum на weborto.net
Вт Дек 22 22:06:20 YEKT 2009


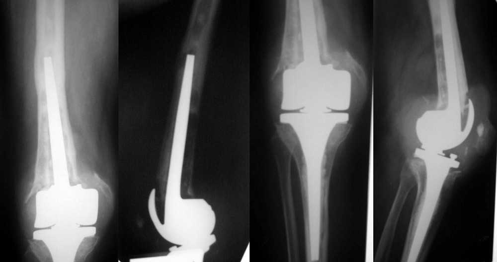
Пациентка 72 лет. Асептическая нестабильность бедренного компонента ротационного
протеза Endo-Model (Waldemar Link).

Тибиальный компонент наиболее вероятно стабилен по
данным R-графии. Индивидуальный эндопротез у W.Link оказался неподъемным по цене.
Уважаемые коллеги, подскажите где и у какой фирмы можно найти соответствующий имплантант,
оптимальный по цене – качеству.
Найданов Вадим Федорович
----------- УМЕДХЭБС ЮБУФШ -----------
Вложение не в текстовом формате было извлечено…
Имя     : endomodel.jpg
Тип     : image/jpeg
Размер  : 20205 байтов
Описание: отсутствует
Url     : http://weborto.net:8080/pipermail/ortho/attachments/20091222/e37801c5/attachment-0001.jpg 


Подробная информация о списке рассылки Ortho