[Ortho] [3/3] переломы ребер

Djoldas Kuldjanov orthoforum на weborto.net
Чт Дек 24 00:47:16 YEKT 2009


Последние

Djoldas Kuldjanov, MD
Department of Orthopedic Surgery
St. Louis University Medical Center
----------- УМЕДХЭБС ЮБУФШ -----------
Вложение не в текстовом формате было извлечено…
Имя     : dissociation chest surgery 17.jpg
Тип     : image/jpeg
Размер  : 78154 байтов
Описание: отсутствует
Url     : http://weborto.net:8080/pipermail/ortho/attachments/20091224/966f0eff/attachment-0005.jpg 
----------- УМЕДХЭБС ЮБУФШ -----------
Вложение не в текстовом формате было извлечено…
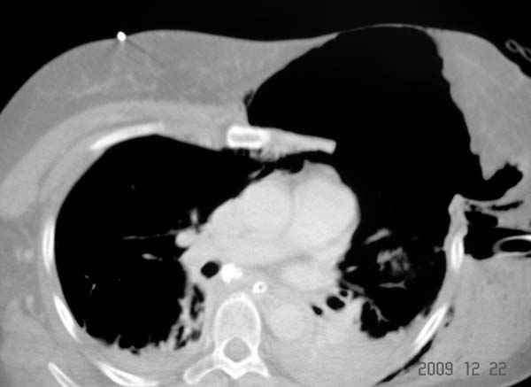
Имя     : Dissociation CT.jpg
Тип     : image/jpeg
Размер  : 32310 байтов
Описание: отсутствует
Url     : http://weborto.net:8080/pipermail/ortho/attachments/20091224/966f0eff/attachment-0006.jpg 
----------- УМЕДХЭБС ЮБУФШ -----------
Вложение не в текстовом формате было извлечено…
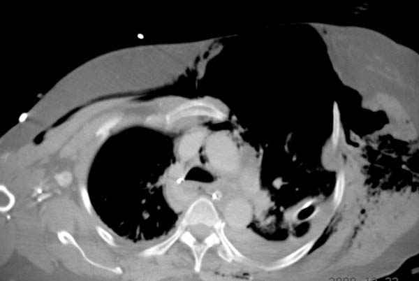
Имя     : Dissociation CT 3.jpg
Тип     : image/jpeg
Размер  : 33029 байтов
Описание: отсутствует
Url     : http://weborto.net:8080/pipermail/ortho/attachments/20091224/966f0eff/attachment-0007.jpg 
----------- УМЕДХЭБС ЮБУФШ -----------
Вложение не в текстовом формате было извлечено…
Имя     : dissociation pericardium 8.jpg
Тип     : image/jpeg
Размер  : 79447 байтов
Описание: отсутствует
Url     : http://weborto.net:8080/pipermail/ortho/attachments/20091224/966f0eff/attachment-0008.jpg 
----------- УМЕДХЭБС ЮБУФШ -----------
Вложение не в текстовом формате было извлечено…
Имя     : Dissociation postop.jpg
Тип     : image/jpeg
Размер  : 32043 байтов
Описание: отсутствует
Url     : http://weborto.net:8080/pipermail/ortho/attachments/20091224/966f0eff/attachment-0009.jpg 


Подробная информация о списке рассылки Ortho