[Ortho] застарелый вывих стопы

Denis orthoforum на weborto.net
Чт Фев 5 08:56:39 YEKT 2009


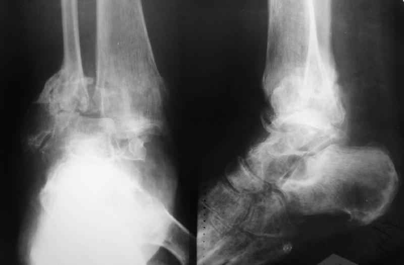
Пациентка 56лет поступила через 5,5 мес. после открытого 2-х лодыжечного перелома,
наружного вывиха правой стопы, осложнённого гнойным артритом.

через 3 недели после травмы в ОКБ выполнена артротомия, некрсеквестрэктомия б/берцовой
кости, ещё через неделю - аутодермопластика по Тиршу. К нам больная поступила через 5,5 мес.
Выполнен ЧКО, остеотомия м/берцовой кости, аппаратное вправление вывиха. Планируется
артродез голеностопного сустава. По медиальной поверхности голени на месте
аутодермопластики сформировался грубый рубец, спаянный с б/берцовой костью. Больная
ходит на костылях с частичной опорой на правую стопу. ВОПРОС: 1) возможно ли в данной ситуации
обойтись компрессионным артродезом в АВФ? 2) какой вид кожной пластики и в какие сроки
целесообразен?
Denis

----------- УМЕДХЭБС ЮБУФШ -----------
Вложение не в текстовом формате было извлечено…
Имя     : get_image1.jpg
Тип     : image/jpeg
Размер  : 12997 байтов
Описание: отсутствует
Url     : http://weborto.net:8080/pipermail/ortho/attachments/20090205/7c6e55e0/attachment-0005.jpg 
----------- УМЕДХЭБС ЮБУФШ -----------
Вложение не в текстовом формате было извлечено…
Имя     : get_image2.jpg
Тип     : image/jpeg
Размер  : 9531 байтов
Описание: отсутствует
Url     : http://weborto.net:8080/pipermail/ortho/attachments/20090205/7c6e55e0/attachment-0006.jpg 
----------- УМЕДХЭБС ЮБУФШ -----------
Вложение не в текстовом формате было извлечено…
Имя     : get_image3.jpg
Тип     : image/jpeg
Размер  : 10301 байтов
Описание: отсутствует
Url     : http://weborto.net:8080/pipermail/ortho/attachments/20090205/7c6e55e0/attachment-0007.jpg 
----------- УМЕДХЭБС ЮБУФШ -----------
Вложение не в текстовом формате было извлечено…
Имя     : get_image4.jpg
Тип     : image/jpeg
Размер  : 19672 байтов
Описание: отсутствует
Url     : http://weborto.net:8080/pipermail/ortho/attachments/20090205/7c6e55e0/attachment-0008.jpg 
----------- УМЕДХЭБС ЮБУФШ -----------
Вложение не в текстовом формате было извлечено…
Имя     : get_image5.jpg
Тип     : image/jpeg
Размер  : 25721 байтов
Описание: отсутствует
Url     : http://weborto.net:8080/pipermail/ortho/attachments/20090205/7c6e55e0/attachment-0009.jpg 


Подробная информация о списке рассылки Ortho