[Ortho] Перипротезный перелом бедра

Валерий Павлович Охлопков orthoforum на weborto.net
Чт Фев 5 12:43:39 YEKT 2009


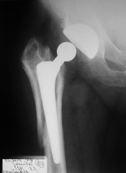
Мужчине 1963 г. бедра в октябре прошлого года в Кургане сделано
эндопротезирование правого тазобедренного сустава (последствия перелом
шейки бедра) бесцементным протезом Cerafit.   

Все было благополучно, пациент уже ходил без трости, когда в начале
января 2009 упал на улице на правый бок. 
Госпиталирован по месту жительства (МСЧ г. Новоуральск). Уложен на
скелетное вытяжение. На снимках от 3 февраля видно миграцию ножки в
дистальном направлении, она явно нестабильна.   
В нашей больнице вряд ли что-то удастся сделать. Сопутствующих
заболеваний нет. Хотелось бы получить совет по тактике. Если нужно
ревизионное протезирование, куда лучше пациента направить?   
Спасибо.
В.П.Охлопков, Новоуральск

----------- УМЕДХЭБС ЮБУФШ -----------
Вложение не в текстовом формате было извлечено…
Имя     : get_image1.jpg
Тип     : image/jpeg
Размер  : 17992 байтов
Описание: отсутствует
Url     : http://weborto.net:8080/pipermail/ortho/attachments/20090205/95b4d85b/attachment-0003.jpg 
----------- УМЕДХЭБС ЮБУФШ -----------
Вложение не в текстовом формате было извлечено…
Имя     : get_image2.jpg
Тип     : image/jpeg
Размер  : 19401 байтов
Описание: отсутствует
Url     : http://weborto.net:8080/pipermail/ortho/attachments/20090205/95b4d85b/attachment-0004.jpg 
----------- УМЕДХЭБС ЮБУФШ -----------
Вложение не в текстовом формате было извлечено…
Имя     : get_image3.jpg
Тип     : image/jpeg
Размер  : 14868 байтов
Описание: отсутствует
Url     : http://weborto.net:8080/pipermail/ortho/attachments/20090205/95b4d85b/attachment-0005.jpg 


Подробная информация о списке рассылки Ortho