[Ortho] перелом межмыщелкового возвышения

Гладков Алексей orthoforum на weborto.net
Вт Фев 10 23:59:35 YEKT 2009


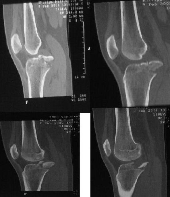
КТ мы конечно сделали, судя по результатам смещение довольно большое и оставить его без репозиции не представляется нам возможным. Планируем артротомию задним доступом и фиксацию фрагмента винтом или проволочным швом. Артроскопа не имеем.
Гладков Алексей

----------- следущая часть -----------
Вложение не в текстовом формате было извлечено…
Имя     : IMAG071812.jpg
Тип     : image/jpeg
Размер  : 49093 байтов
Описание: отсутствует
Url     : http://weborto.net:8080/pipermail/ortho/attachments/20090210/b713ef77/attachment-0001.jpg 


Подробная информация о списке рассылки Ortho