[Ortho] Больной загнул тибиальный стержень

Павел Владимирович orthoforum на weborto.net
Ср Фев 11 10:54:13 YEKT 2009


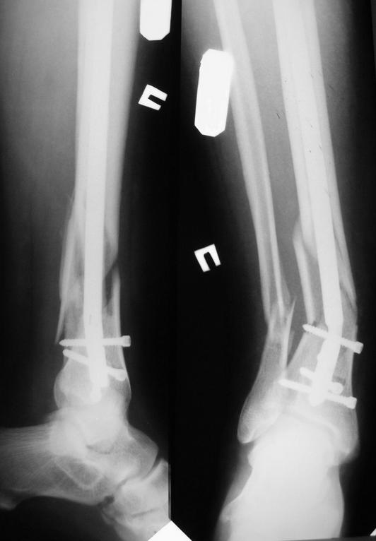
Уважаемые коллеги! Помогите советом! Через 6 дней после операции больной упал, загнул
титановый тибиальный блокирующий стержень диаметром 10 мм.

Больной 36 лет, Ds: оскоьчатый перелом костей правой голени в н/3 со смещением. 3.02.09.
выполнен интрамедулярный блокирующий остеосинтез б/берцовой кости титановым стержнем
диамерт 10 мм. 9.02.09. больбной упал в палате, загнул стержень.
Павел Владимирович

----------- УМЕДХЭБС ЮБУФШ -----------
Вложение не в текстовом формате было извлечено…
Имя     : 1.jpg
Тип     : image/jpeg
Размер  : 35096 байтов
Описание: отсутствует
Url     : http://weborto.net:8080/pipermail/ortho/attachments/20090211/bf596db8/attachment-0001.jpg 


Подробная информация о списке рассылки Ortho