[Ortho] Последствие эндопротезирования

Александр Митрофанов orthoforum на weborto.net
Чт Фев 12 00:46:13 YEKT 2009


Уважаемые коллеги! Есть предложение обсудить интересный случай.
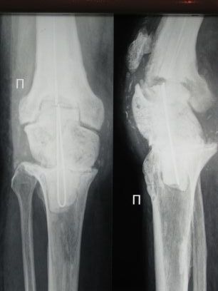
Пациент 69 лет.С 2002 года пережил три эндопротеза правого коленного
сустава. В ноябре 2008 года эндопротез удален, дефект заполнен
спейсером. В ноябре же был эпизод воспаления в области надколенника.
Задача на момент поступления - создать опорную ногу за короткий промежуток времени.
Хотелось бы узнать, как в данном случае поступили бы участники форума?

А.Митрофанов, Курган
----------- следущая часть -----------
Вложение не в текстовом формате было извлечено…
Имя     : 1.jpg
Тип     : image/jpeg
Размер  : 23129 байтов
Описание: отсутствует
Url     : http://weborto.net:8080/pipermail/ortho/attachments/20090212/35d7203a/attachment-0001.jpg 


Подробная информация о списке рассылки Ortho