[Ortho] Корригирующая остеотомия или эндопротезирование?

Alexander Chelnokov alex на weborto.net
Чт Фев 12 21:27:22 YEKT 2009


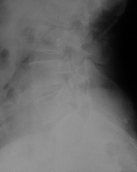
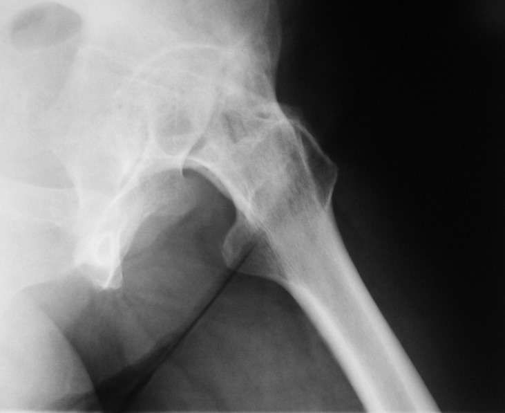
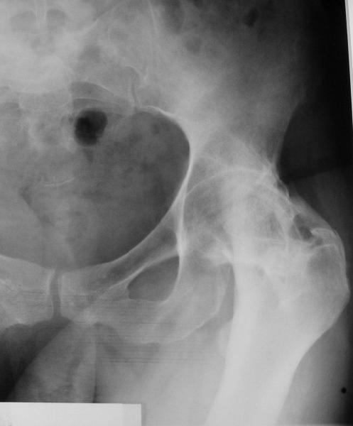
У больной 53 лет в последний год появились сильные боли в пояснице.
                        
3 года назад при нефрэктомии по поводу гидронефроза была перфорация
кишки, перитонит, сепсис, колостома. Месяца 2 в реанимации. Все это
завершилось благополучно, колостома вскоре была закрыта.

При обследовании выявлен анкилоз тазобедренного сустава в приведении.
Видимо, в период пребывания в тяжелом состоянии появились
гетеротопические оссификаты. За исключением того, что осталась одна
почка, сейчас других медицинских проблем нет.

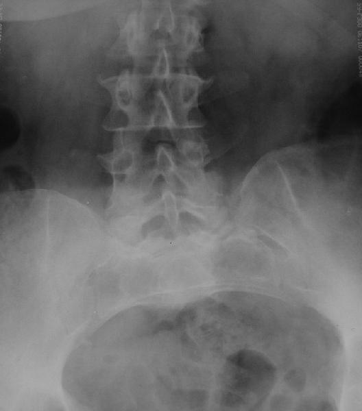
Пациентку в первую очередь беспокоят боли в спине, на отсутствие
движений в суставе она вроде и не жалуется. Вопрос насчет тактики.
Корсет и анальгетики вряд ли решение. Первый вариант - удаление
оссификатов и эндпротезирование, второй - корригирующая остеотомия в
проксимальном отделе с устранением порочного положения.

Второй вариант много проще и менее травматичен. Можно ли без
размыкания сустава рассчитывать на существенное уменьшение боли за
счет устранения перекоса таза?

-- 
Best regards,
Alexander N. Chelnokov
Ural Scientific Research Institute
of Traumatology and Orthopaedics
7, Bankovsky str. Ekaterinburg 620014 Russia
-------------- next part --------------
A non-text attachment was scrubbed...
Name: get_image1.jpg
Type: image/jpeg
Size: 19961 bytes
Desc: not available
Url : http://weborto.net:8080/pipermail/ortho/attachments/20090212/00a6cd63/attachment-0004.jpg 
-------------- next part --------------
A non-text attachment was scrubbed...
Name: get_image2.jpg
Type: image/jpeg
Size: 28940 bytes
Desc: not available
Url : http://weborto.net:8080/pipermail/ortho/attachments/20090212/00a6cd63/attachment-0005.jpg 
-------------- next part --------------
A non-text attachment was scrubbed...
Name: get_image3.jpg
Type: image/jpeg
Size: 18126 bytes
Desc: not available
Url : http://weborto.net:8080/pipermail/ortho/attachments/20090212/00a6cd63/attachment-0006.jpg 
-------------- next part --------------
A non-text attachment was scrubbed...
Name: get_image4.jpg
Type: image/jpeg
Size: 9234 bytes
Desc: not available
Url : http://weborto.net:8080/pipermail/ortho/attachments/20090212/00a6cd63/attachment-0007.jpg 


Подробная информация о списке рассылки Ortho